Figure 3
From: SILAC–based quantitative MS approach for real-time recording protein-mediated cell-cell interactions

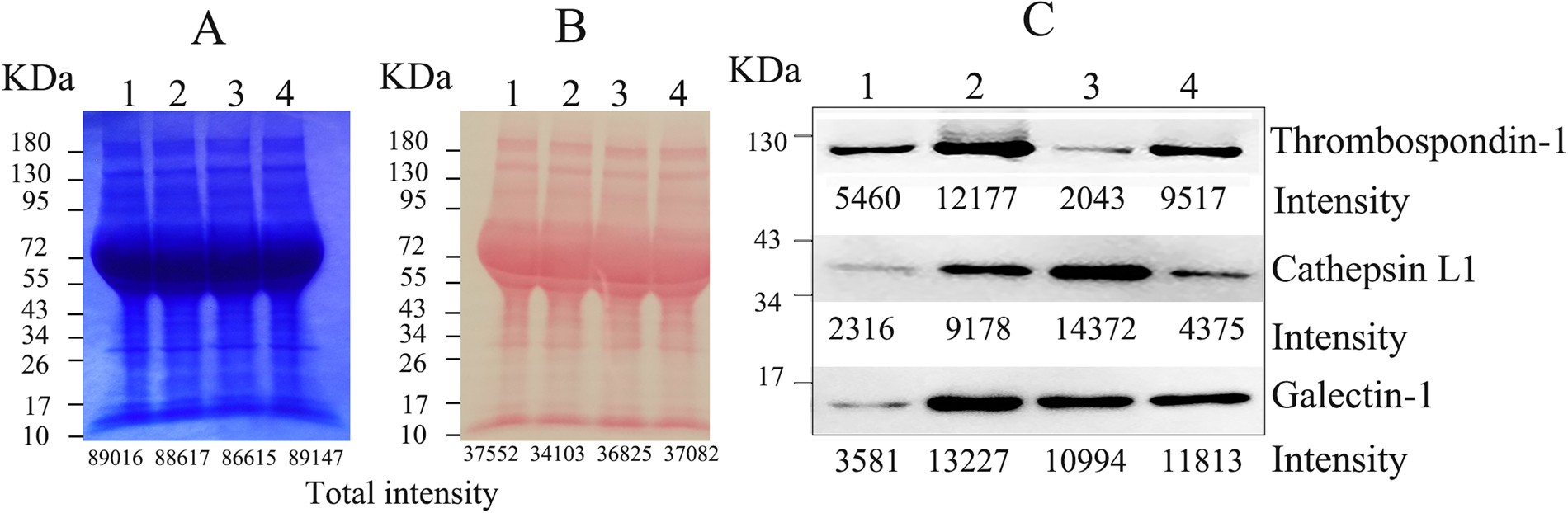
In-gel validation for three representative proteins. (A)The total proteins of loaded samples. (B) The total proteins after transferring to PVDF membrane. (C) The three MS- quantified proteins were verified by Western blot. Line 1–3: Conditional media (CM) collected from mono-cultured Ana-1 (1), CT26 (2) and co-cultured system (3). Line 4: the mixture CMs from mono-cultured Ana-1 and CT26 that have been incubated for 48 h respectively (4). Data showed the band intensity. The unprocessed original scans of blots (Fig. 3) are shown in Supplementary Fig. 1.