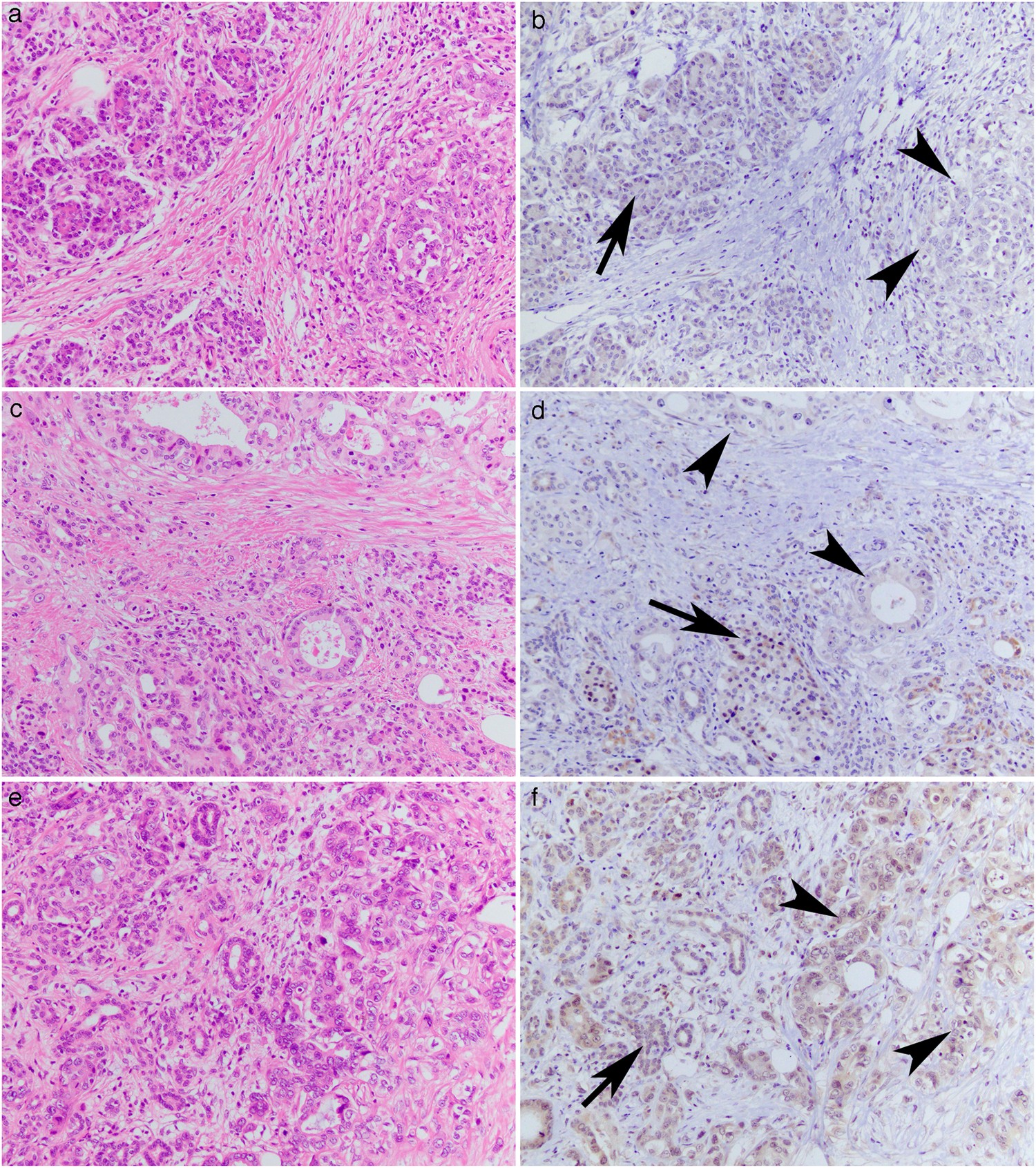
Figure 2

Expression of BRCA2 protein in pancreatic ductal adenocarcinomas. The tissues of Case 17 (a,b) and Case 19 (c,d) showed reduced expression of BRCA2 in the ductal carcinomas (arrowheads in b and d) in comparison with adjacent normal acinar and islet cells (arrows in b and d). The tissue of Case 29 (e,f), in which the enrichment of a missense mutant allele in the tumor DNA was detected, showed retained expression of BRCA2 in ductal carcinoma (arrowheads in f) comparable to the normal acini (an arrow in f). Images were hematoxylin and eosin staining (a,c and e) and the indirect immunohistochemical staining with diaminobenzidine as the chromogen (b,d and f). Original magnification, ×200.