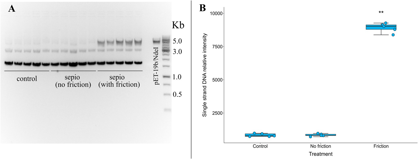
Figure 3

Linear plasmid DNA molecule abundance is higher when friction forces are applied. (A) Extraction of the plasmid pET-19b from sepiolite-treated E. coli DH5α, a recA deficient strain, after one minute of friction treatment (five extractions per treatment). Note the enrichment of linearised plasmid DNA molecules (5 Kb fragments?) from bacteria treated with sepiolite after two minutes of friction applied to a 1% agarose gel. (B) Box-plot of the abundance of single-strand DNA molecules after different experimental treatments (control, sepiolite without friction and sepiolite with friction). Plasmid pET-19b digested with a single cut site enzyme NdeI was used as a control for the linear molecule migration rate and as a reference to calculate relative intensities using a densitometry analysis. The asterisks represent a significant difference; Tukey HSD test: P < 0.01.