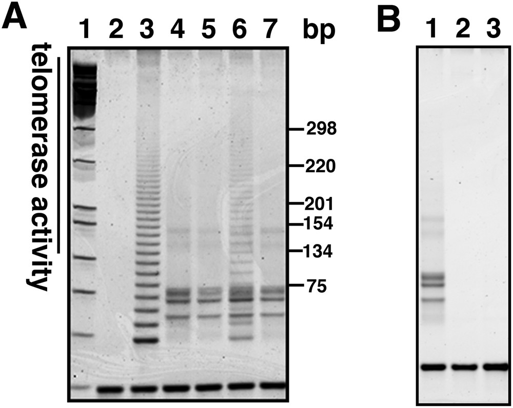
Figure 6

Detection of telomerase activity using stretch PCR. (A) Results of primary and recombinant sea turtle derived cell, Lane 1, Molecular weight marker, Lane 2, negative control, Lane 3, positive control sample (HeLa cells), Lane 4, A634 primary cells, Lane 5, A634 derived K4DT cells, Lane 6, A634 derived K4DTā+āTERC, Lane 7, A634 derived K4D cells. (B) Detection of telomerase activity with protein lysate (Lane 1), heat inactivated A634 derived protein (Lane 2), RNase treated A634 derived protein (Lane 3).