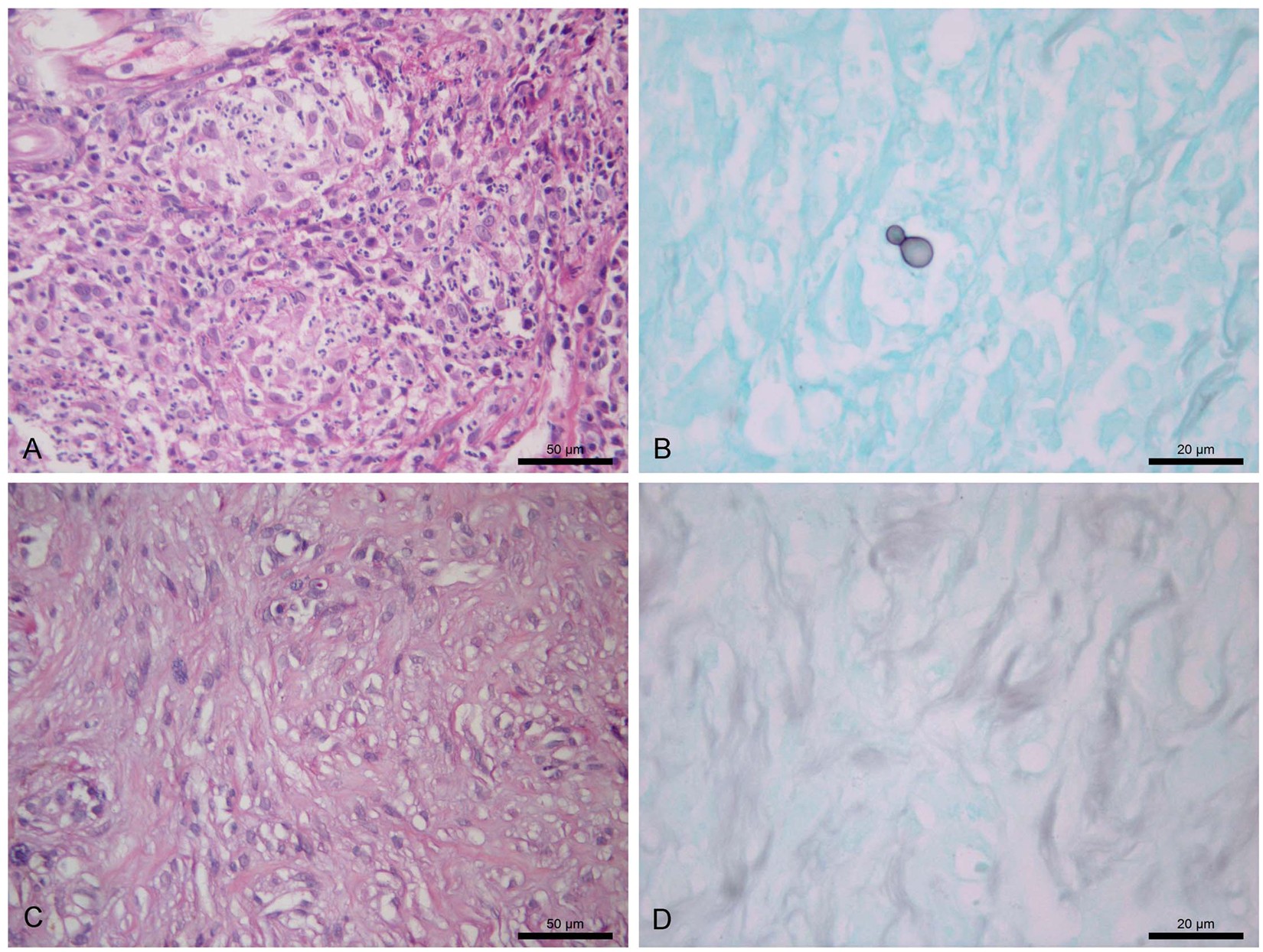
Figure 2

Histological changes in the skin lesion of a cat with sporotrichosis (the same as in Fig. 1A–C) whose outcome was clinical cure after 16 weeks of treatment with itraconazole. (A,B) Skin lesion sample at the time of the first biopsy before treatment. (A) Marked and diffuse pyogranulomatous dermatitis exhibiting multiple well-formed granulomas. H&E. (B) Note the black-stained single, round, budding yeast cell, demonstrating low fungal load. GMS. (C,D) Sample of the same skin lesion at the time of the second biopsy after 7 weeks of treatment. (C) Dermal fibrosis. H&E. (D) Absence of yeasts. GMS.