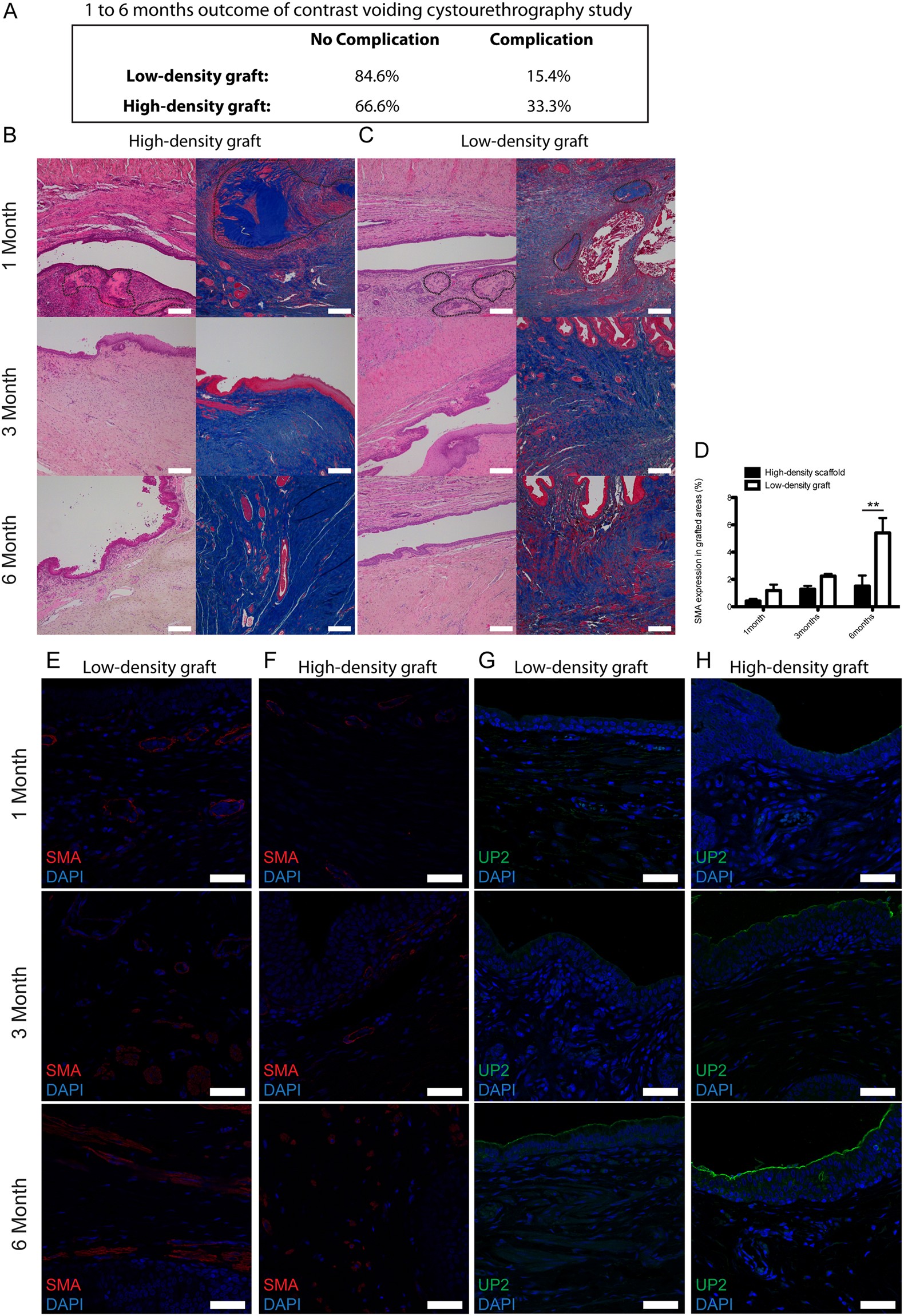
Figure 3
From: Fiber density of collagen grafts impacts rabbit urethral regeneration

In vivo evaluation of high-density (HD) and low-density (LD) collagen grafts in a rabbit urethral defect model. (A) Functional surgical outcome analyzed by micturating cysto-urethrography of rabbit implanted with LD- and HD-grafts for 1, 3 and 6 months. (B) H&E and MT stained sections of the grafted area of HD-graft 1, 3 and 6 months after implantation. (C) H&E and MT stained sections of the grafted area of low-density graft 1, 3 and 6 months after implantation. (D) Quantification of SMA expression in grafted areas for rabbits implanted with LD- and HD-graft after 1, 3, and 6 months. (E) Immunohistochemistry for compared to the HD-grafts-SMA of LD-graft implanted for 1, 3 and 6 months. (F) Immunohistochemistry for SMA of HD-graft implanted for 1, 3 and 6 months. (G) Immunohistochemistry for Uroplakin-2 (Up2) of LD-graft implanted for 1, 3 and 6 months. (H) Immunohistochemistry for Up2 of HD-graft implanted for 1, 3 and 6 months. Note: areas circled in dashed black line indicating the remaining collagen pieces of the grafts after 1 month (Scale bar H&E and MT 250 µm, Scale bar SMA and Up-2 50 µm). (Error bars represent the standard deviation of four independent samples. **p < 0.01, Student t-test).