Figure 4
From: Fiber density of collagen grafts impacts rabbit urethral regeneration

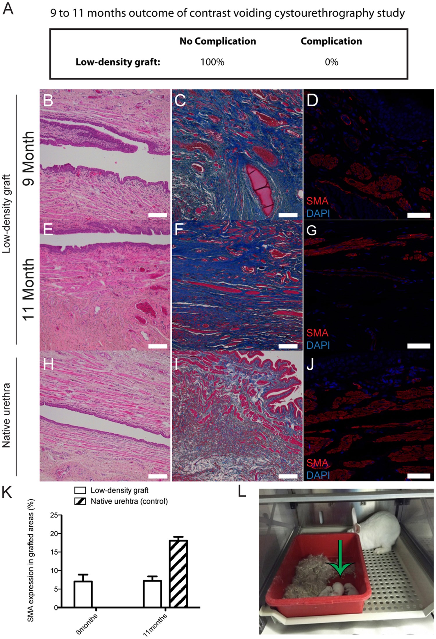
Long-term in vivo evaluation of low-density collagen grafts in a rabbit urethral defect model. (A) Functional surgical outcome analyzed by micturating cysto-urethrography of rabbits with an artificially created, circumferential urethral defect that was bridged with a LD-graft (N = 5 rabbits for 9 months, N = 2 rabbits for 11 months). (B,C,E,F, and H,I) H&E and MT stained sections of LD-graft implanted for 9 and 11 months, and a control native rabbit urethra. (D,G and J) Immunohistochemistry for α-SMA of LD-graft implanted for 9 and 11 months, and a control native rabbit urethra. (K) Quantification of SMA expression in LD-graft compared to a control native rabbit urethra. (L) A photo of rabbit offspring from fathers implanted with a LD-graft. Note: green arrow pointing at offspring (Scale bar H&E and MT 250 µm, Scale bar SMA 50 µm). Error bars represent the standard deviation of four independent samples.