Figure 5
From: Amelioration of High Fructose-Induced Cardiac Hypertrophy by Naringin

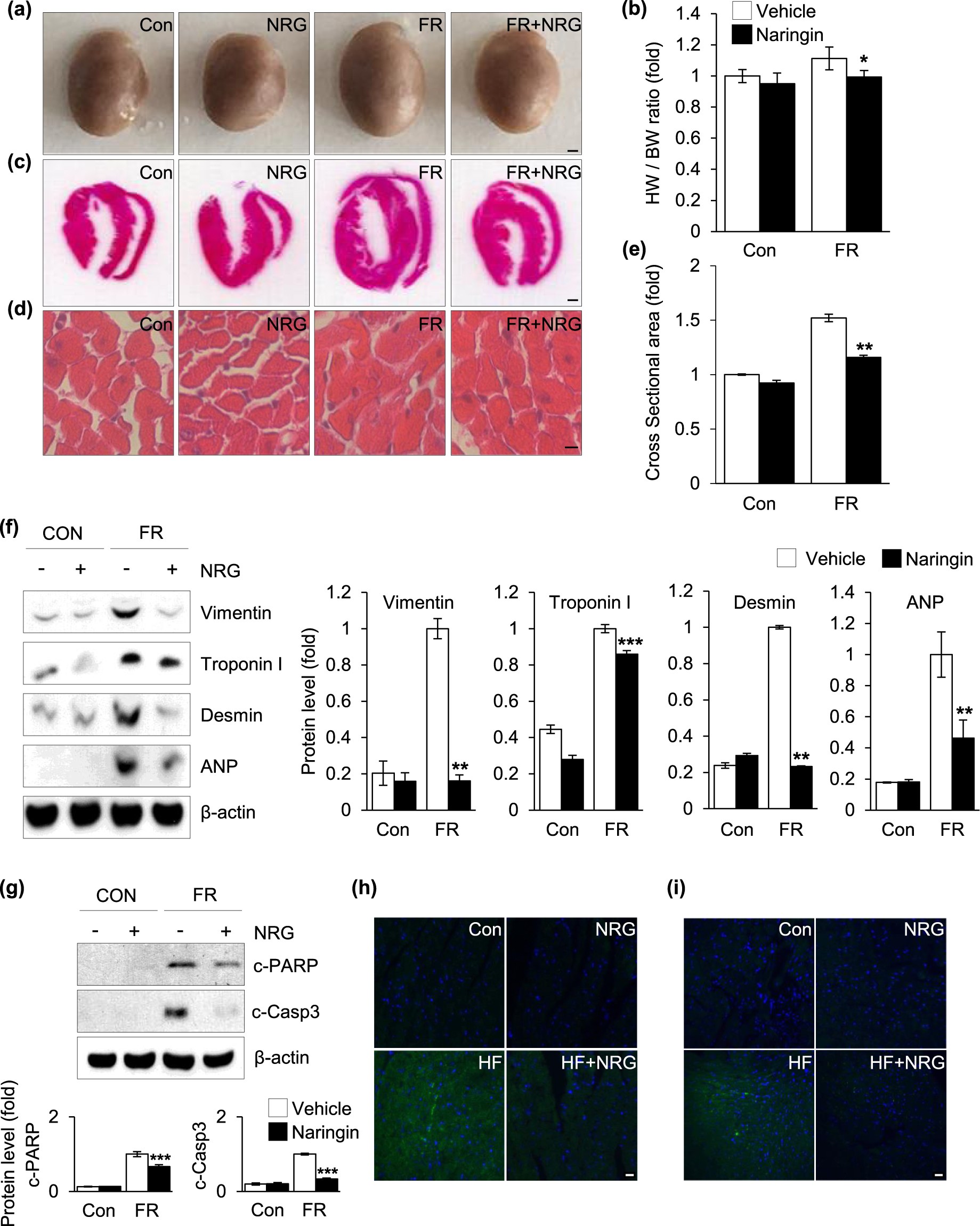
The protective effect of naringin on fructose-induced cardiac hypertrophy in vivo. (a) Macroscopic appearance of cardiac hypertrophy from mice groups. (b) Heart weight/body weight (HW/BW) ratios. (c) Representative hematoxylin and eosin stained images of heart sections. (d) Section images of myocardial tissue with H&E staining. (e) Quantification of cross-sectional area of hearts stained with H&E. (f) Immunoblot analysis of hypertrophy markers. Histograms represent quantification of the levels of protein normalized to actin. (g) Immunoblot analysis of cleavage of PARP and caspase-3. Actin was used as a loading control. Quantification of the protein levels normalized to actin is shown. (h,i) Representative immunohistochemical images of cleaved-PARP and cleaved-caspase-3 in heart sections. Nuclei were counterstained with Hoechst 33342. Each value is presented as the mean ± S.D. from three to four independent experiments (*P < 0.05, **P < 0.01, ***P < 0.001 vs. fructose treated group). Scale bar in images indicates 20 μm. Con: control group, FR: fructose group, NRG: naringin treatment group compared with vehicle group.