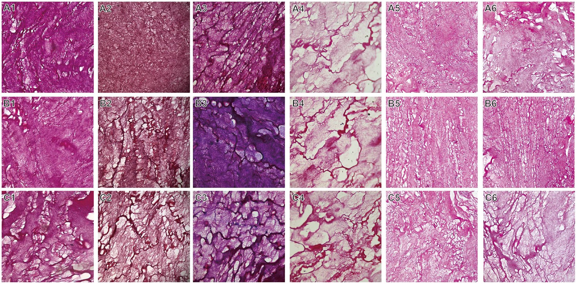
Figure 2
From: Relationships of Age and Sex with Cytokine Content and Distribution in Human Platelet Fibrin Gels

Massonās trichrome staining and histological analyses of three segments of rabbit platelet-rich fibrin (PRF) gel. Sections from the red blood cell end (A1ā6), middle segment (B1ā6) and serum end (C1ā6) of the PRF show decreasing compactness and increasing porosity from the red blood cell end to the serum end.