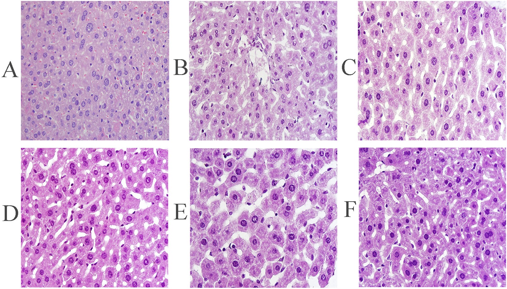
Figure 7

Representative photomicrographs of liver histopathology (600×). Liver sections from mice in (A) NC group, (B) MC group, (C) PC group, and dosage groups treated with EPS at the dose of (D) 600 mg/kg and (E) 400 mg/kg and (F)200 mg/kg, respectively.