Figure 3

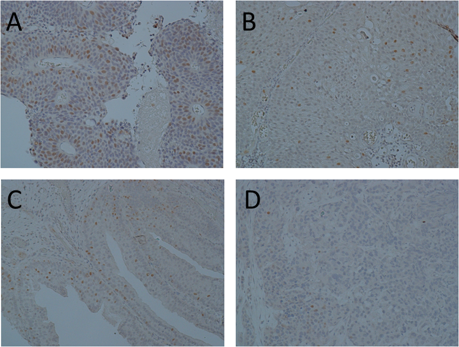
Large T antigen immunohistochemistry. Data are shown for 4 tumours. (A) Grade 3 MIBC, Ct 17.6, (B) grade 2 pTa, Ct 21.1, (C): grade 2 pTa, Ct 29.2, (D) grade 3 MIBC, qPCR negative.

Large T antigen immunohistochemistry. Data are shown for 4 tumours. (A) Grade 3 MIBC, Ct 17.6, (B) grade 2 pTa, Ct 21.1, (C): grade 2 pTa, Ct 29.2, (D) grade 3 MIBC, qPCR negative.