Figure 4
From: Pigment Epithelium-Derived Factor (PEDF) as a Regulator of Wound Angiogenesis

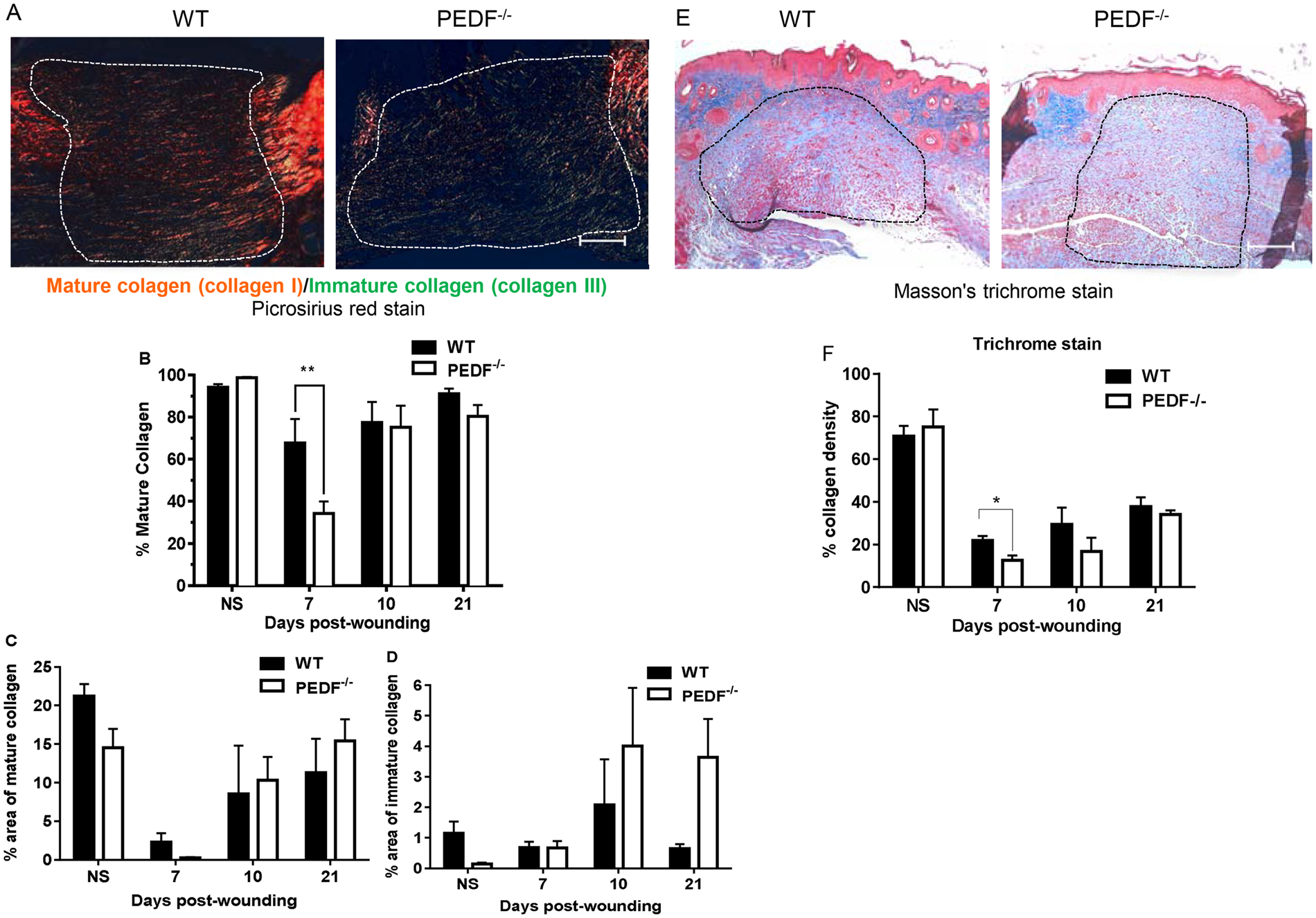
Assessment of collagen content and maturity in wounds of WT vs. PEDF−/− mice. (A) Representative photomicrographs of picrosirius red stain demonstrate the distribution of green-yellow (immature) and red-orange (mature) collagen in day 7 wounds. Scale bar = 100μm. (B) Percentage of mature collagen in the wound bed, calculated as (area of red-orange stain)/(total area of collagen) based on picrosirius red staining. Mean ± SD, n = 5 for all time points, except n = 4 at Day 10- PEDF−/− and n = 6 for NS-WT and NS- PEDF−/−. **p < 0.01 by two-way ANOVA followed by Bonferroni’s post-hoc analysis. (C) Percentage of area occupied by mature collagen, not significant. (D) Percentage of area occupied by immature collagen based on picrosirius red staining, not significant. (E) Representative photomicrographs of Masson’s trichrome stain demonstrate the distribution of collagen (blue) in day 7 wounds. Scale bar = 100μm. (F) Percentage of area occupied by collagen based on Masson’s trichrome staining. Wound bed areas marked by dotted lines were used for quantification. Mean ± SD, n = 3 for WT NS & Day 10 and PEDF−/− Day 21; n = 4 for PEDF−/− Day 7; n = 5 for WT Day 21 and PEDF−/− NS; n = 6 for WT Day 7 & PEDF−/− Day 10. *p < 0.05 by two-way ANOVA followed by Bonferroni’s post-hoc analysis.