Figure 7
From: NPM-hMLF1 fusion protein suppresses defects of a Drosophila FTLD model expressing the human FUS gene

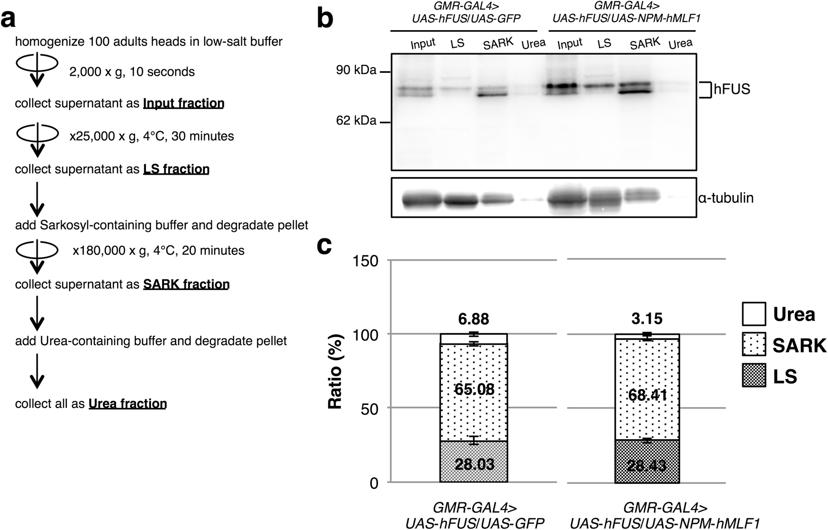
Co-expression of NPM-hMLF1 slightly increased the solubility of hFUS protein. (a) Schematic drawings of protocol for proteins that were fractionated into Input fraction, LS fraction, SARK fraction and Urea fraction. (b) Western immunoblotting analysis of proteins recovered in each fraction with hFUS IgG. Proteins were extracted from adult heads carrying GMR-GAL4 > UAS-hFUS/UAS-GFP (GMR-GAL4/Y; UAS-hFUS/UAS-GFP) and GMR-GAL4 > UAS-hFUS/UAS-NPM-hMLF1 (GMR-GAL4/Y; UAS-hFUS/UAS-NPM-hMLF1). After fractionating by the above protocol, samples were analyzed by Western blotting. The blots were probed with anti-hFUS IgG. The bands with an apparent molecular mass of 83 kDa and 72 kDa correspond to hFUS protein. The flies were developed at 28 °C. The α-tubulin was used as a loading control. (c) Quantification of hFUS protein level in each of the LS, SARK and Urea fractions from the two independent experiments (n = 2). The amounts of hFUS protein in the LS fraction, SARK fraction and Urea fraction were normalized to Input fraction and shown as a relative ratio (%). Error bars indicate SEM.