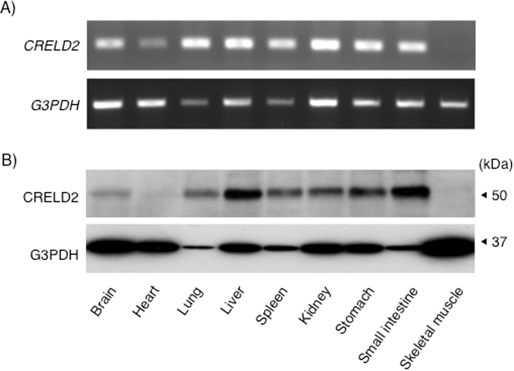
Figure 1

Expression of CRELD2 in mouse tissues. The expression of indicated mRNA (A) and protein (B) in the mouse tissues was detected by RT-PCR and western blotting analysis as described in the Materials and methods section. Representative data from two (A) and three (B) mice are shown.