Figure 6
From: An Adult Zebrafish Model Reveals that Mucormycosis Induces Apoptosis of Infected Macrophages

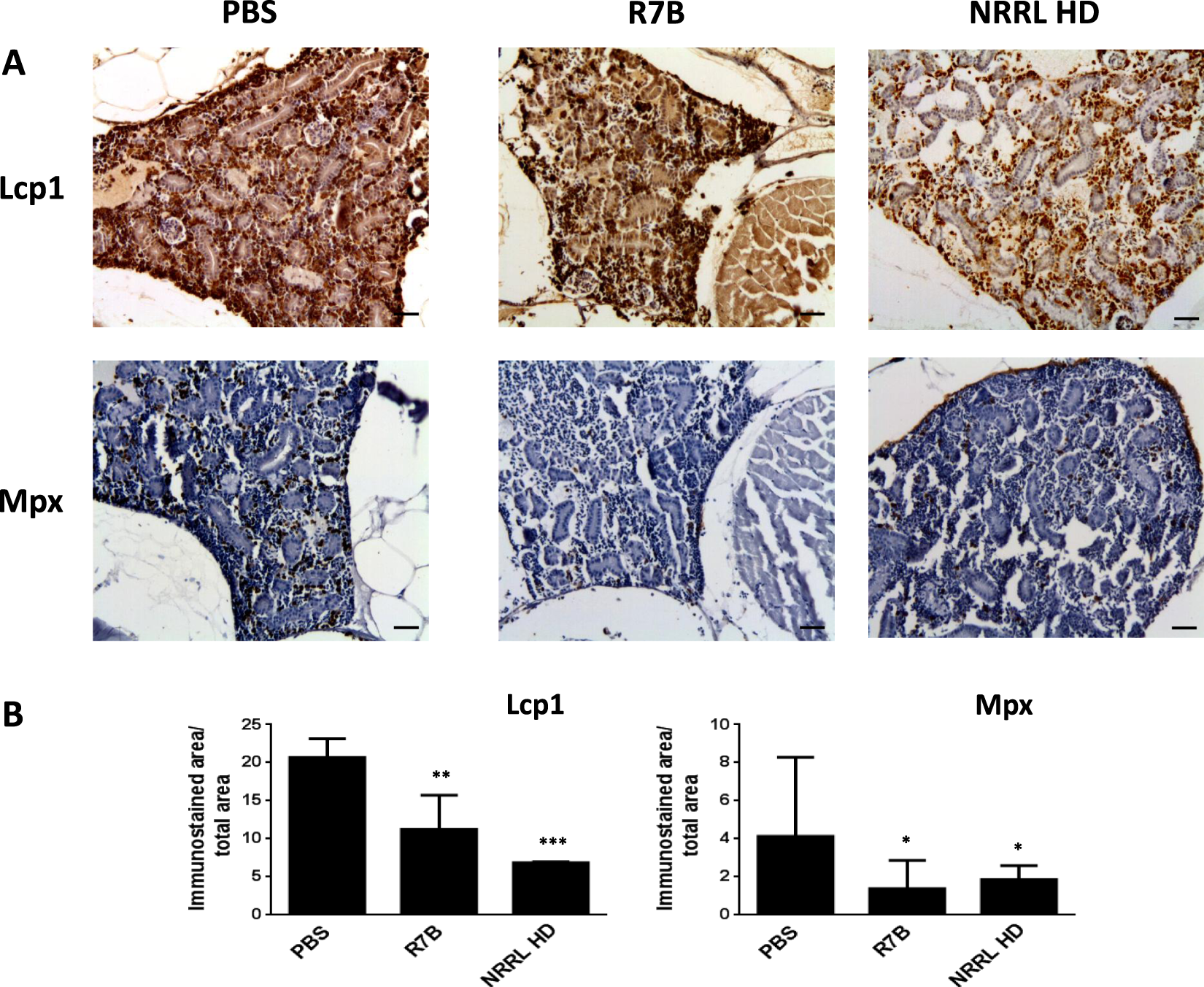
M. circinelloides promotes neutrophils and macrophages depletion in the head kidney. (A) Representative sections of zebrafish head kidneys infected with 2.5 × 105 R7B spores/fish at 16 hpi and immunostained with anti-Lcp1 (pan-leukocyte marker) and anti-Mpx (neutrophil marker) antibodies. Note the robust depletion of myeloid cells. Scale bars 20 µm. (B) Quantification of Lcp1+ and Mpx+ cells is shown as the mean ± SEM of the immunostained area/total area of 4 randomly distributed optical areas from 4 fish at ×200 magnification. *P<0.05; **P<0.01; ***P<0.001.