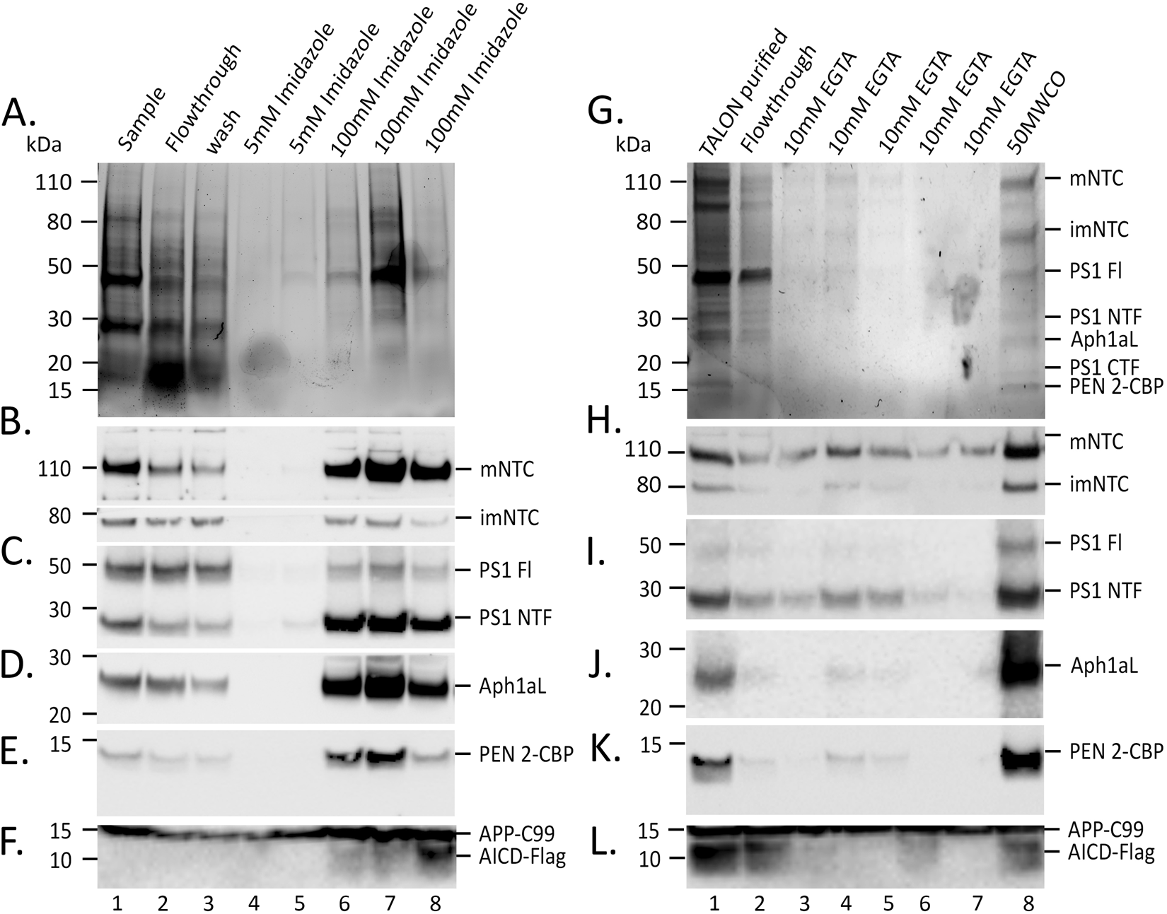
Figure 5
From: Efficient production of a mature and functional gamma secretase protease

Purification of baculovirally reconstituted γ-secretase enzyme complex. Cell membranes of PS1(wt)-γ-secretase expressing insect cells were prepared in 1% CHAPSO and diluted to 0.08% CHAPSO and 0.08% Digitonin. (A) Coomassie stained SDS-PAGE of IMAC purified γ-secretase fractions. Membrane preparations (0.08% CHAPSO +0.08% digitonin in Hepes buffer; Buffer B) from baculovirally expressed γ-secretase following His-Tag purification. Lane 1, diluted membrane preparation sample; lane 2 Flow-through; lanes 3, wash fraction. Lanes 4–8, samples collected from column following elution with 5 mM Imidazole (lane 4 and 5) or 100 mM Imidazole (lane 6–8). All components were present in fractions eluted with 100 mM imidazole (B–E). (F) Cell free assay to assess activity of the fractions to cleave APP-C99 substrate and generate AICD. AICD was only observed with in the sample eluted with 100 mM imidazole (lanes 6–8). (G–K) IMAC purified 100 mM imidazole factions were pooled (lane 1) supplemented with 2 mM CaCl2 and 2 mM MgOAc and applied to Calmodulin resin (CaM) and eluted in 3 ml each of 10 mM EGTA (lanes 3–7) in 0.5% CHAPSO Tris-Buffer (Buffer D). Eluted fractions were pooled and concentrated with 50 kDA filter before SDS-PAGE (G) Coomassie stained SDS-PAGE of CaM purified γ-secretase components detected all γ-secretase components in 50 kDa filter concentrated sample (lane 8). (H–K) Immunoblotting detected γ-secretase components enriched in concentrated fraction (lane 8). (L) Cell free assay setup with CaM purification fractions and APP-C99 detected AICD fragment in starting TALON purified fraction (lane 1), CaM flowthrough (lane 2) and concentrated elution fraction (lane 8).