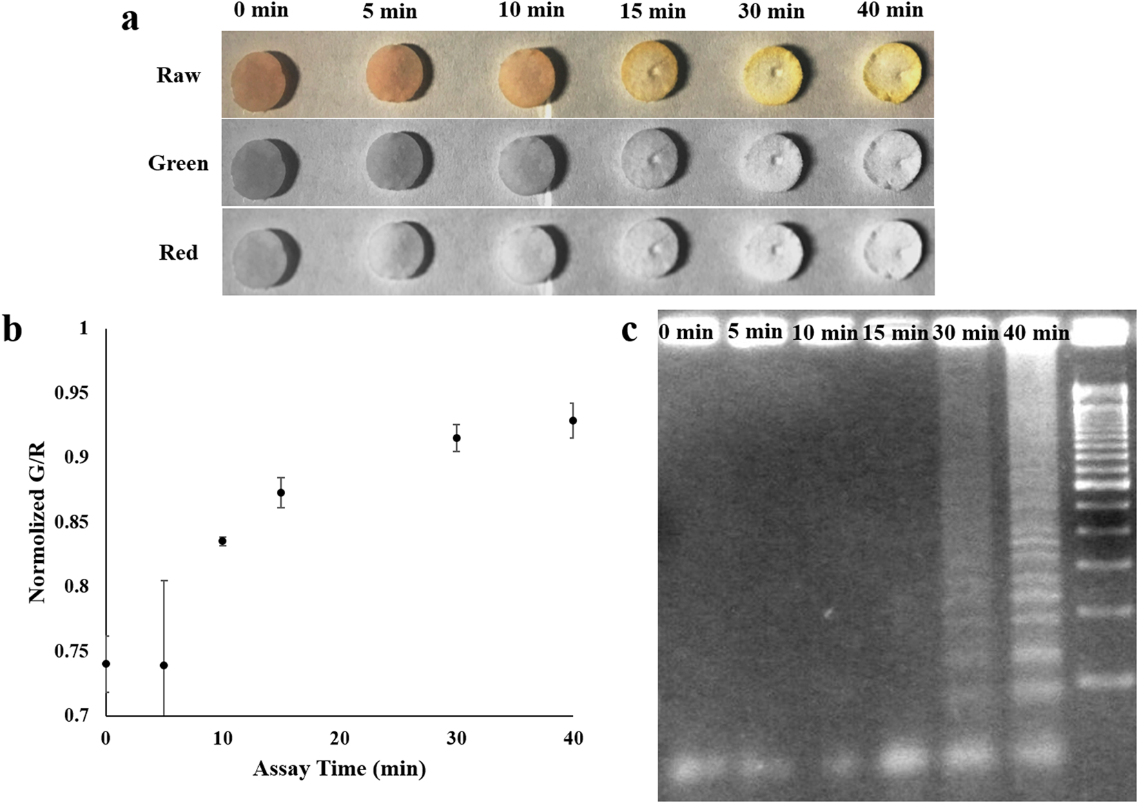
Figure 3

Real-time monitoring and assay time of paper microfluidic RT-LAMP assay. After paper microfluidic filtration of samples, the excised (hole-punched) detection area of the chip was added with RT-LAMP reaction mixture and placed on a hot plate to commence amplification. (a) Representative raw, green and red channel smartphone images captured at 0, 5, 10, 15, 30, and 40 minutes. (b) Normalized green to red (G/R) intensity values are plotted against time. Average of three different experiments, each using a different paper microfluidic chip, sample, and reagent. Error bars represent standard errors. (c) Amplifications were confirmed with 3% w/v agarose gel electrophoresis, using the eluted products from the paper chips, stained with ethidium bromide.