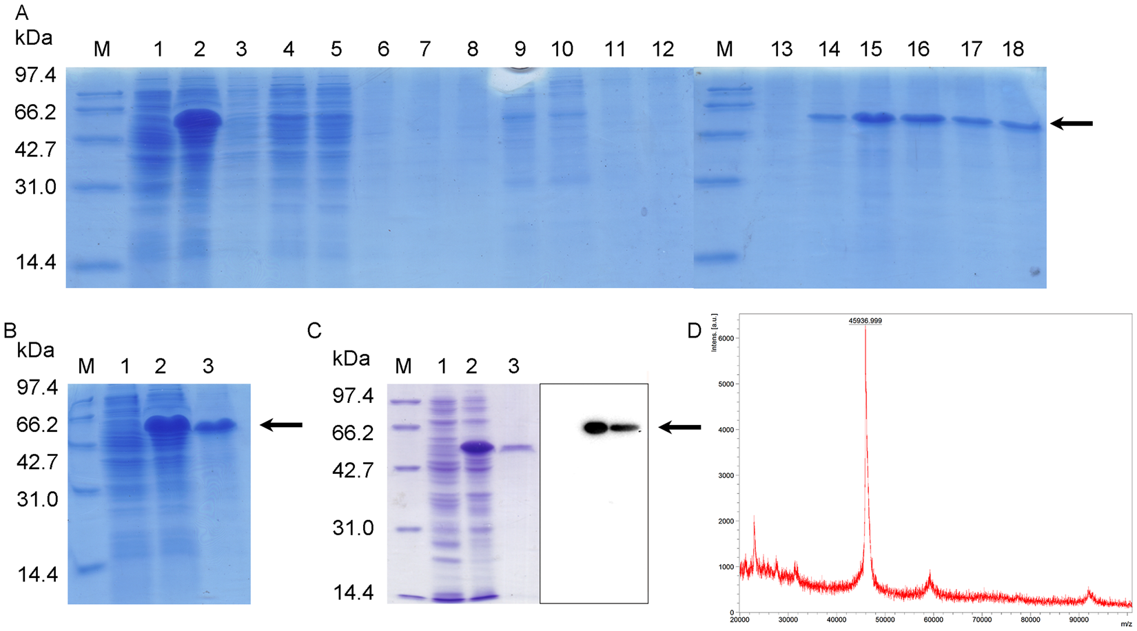
Figure 2

Tα1-Fc was proved to be correct. (A) The supernatant of bacteria was purified by subjected to Ni2+ affinity chromatography. Lane 1–2: none inducer, 5 mM lactose for 4 h; Lane 3: effluent solution; Lane 4–6: 0 mM imidazole; Lane 7–9: 25 mM imidazole; Lane 10–12: 50 mM imidazole; Lane 13–15: 100 mM imidazole; Lane 16–18: 200 mM imidazole. (B) Lane 1–3: none inducer, 5 mM lactose for 4 h, purified solution. (C) Lane 1–3: none inducer, 5 mM lactose for 4 h, purified solution. (D) Mass spectrometry analysis of Tα1-Fc.