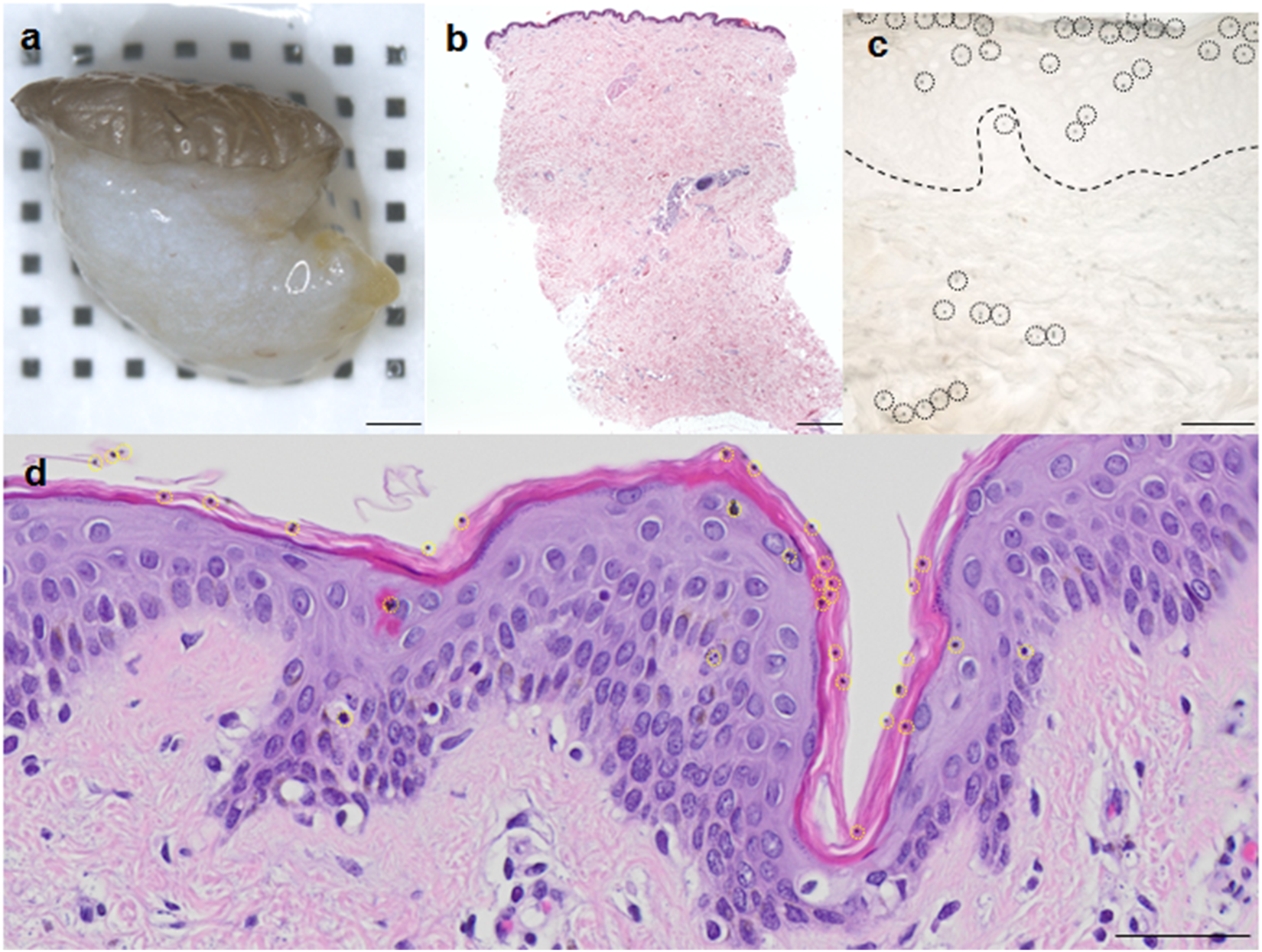
Figure 2

Histology of skin explants. (a) Macroscopic picture of a skin biopsy. (b) HE staining of a longitudinal section of the biopsy prior to gene gun application (c) 10 µm unstained cryo section showing gold particles (indicated by black dotted circles) in the epidermis and dermis of the explant. The dermal-epidermal border was marked by a black dotted line. (d) HE staining of a thin 2 µm paraffin section after gene gun application showing 1.6 µm gold particles predominantly in the epidermis (indicated by yellow circles). Scale bar in (a,b) represents 1000 µm; Scale bars in (c,d) represent 50 µm.