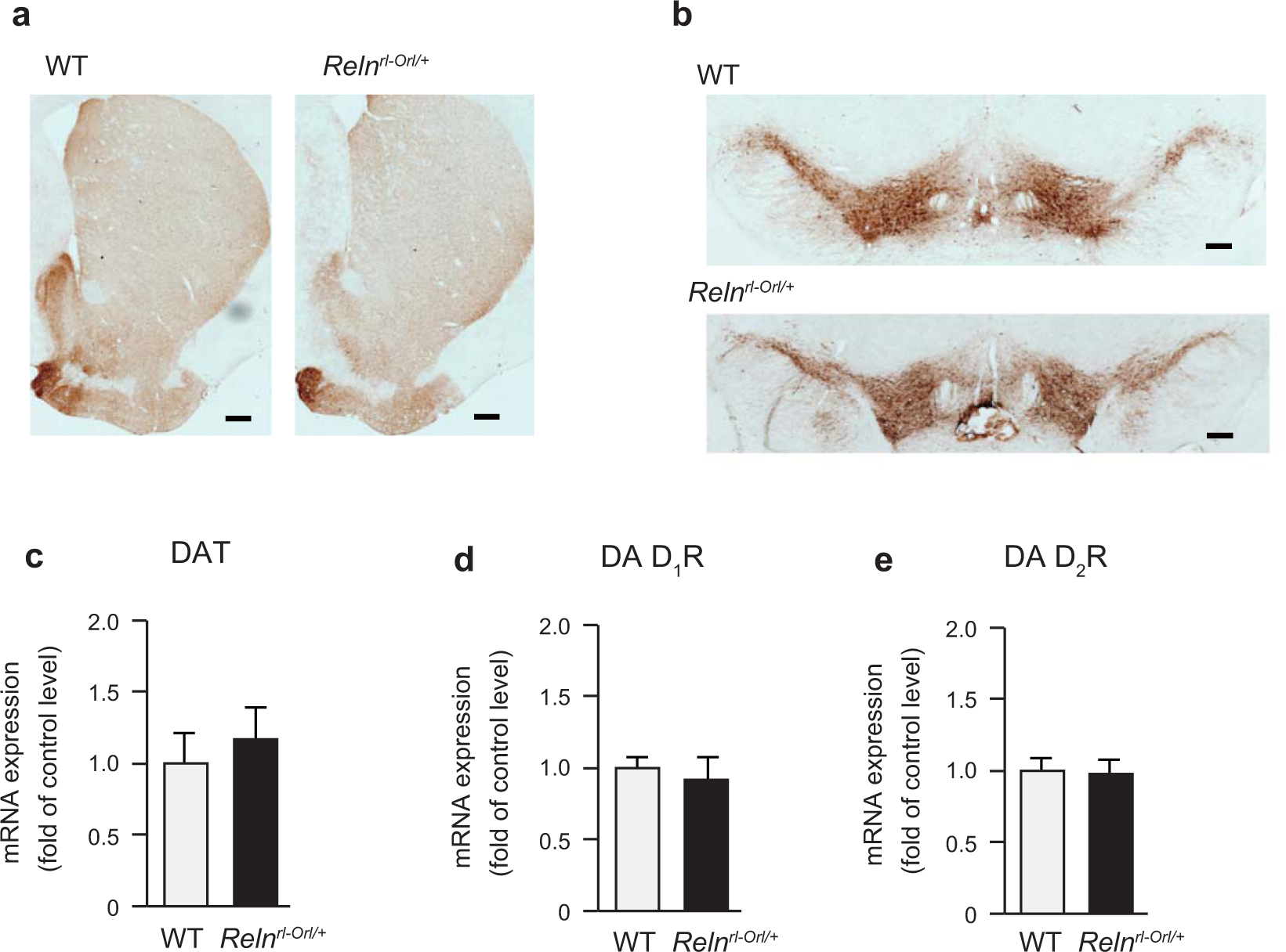
Figure 4

Expression analysis of dopaminergic markers in the NAc and VTA of Relnrl-Orl/+ mice. (a and b) TH immunostaining in the NAc (a) and VTA (b) of Relnrl-Orl/+ mice. (c–e) mRNA levels of DAT and dopamine receptors in Relnrl-Orl/+ mice. (c) DAT (Slc6a3) mRNA in the VTA. Data represent the mean ± SEM (n = 4 for WT mice; n = 4 for Relnrl-Orl/+ mice). (d) D1 receptor (Drd1) mRNA levels in the NAc. Data represent the mean ± SEM (n = 4 for WT mice; n = 4 for Relnrl-Orl/+ mice). (e) D2 receptor (Drd2) mRNA levels in the NAc. Data represent the mean ± SEM (n = 4 for WT mice; n = 4 for Relnrl-Orl/+ mice).