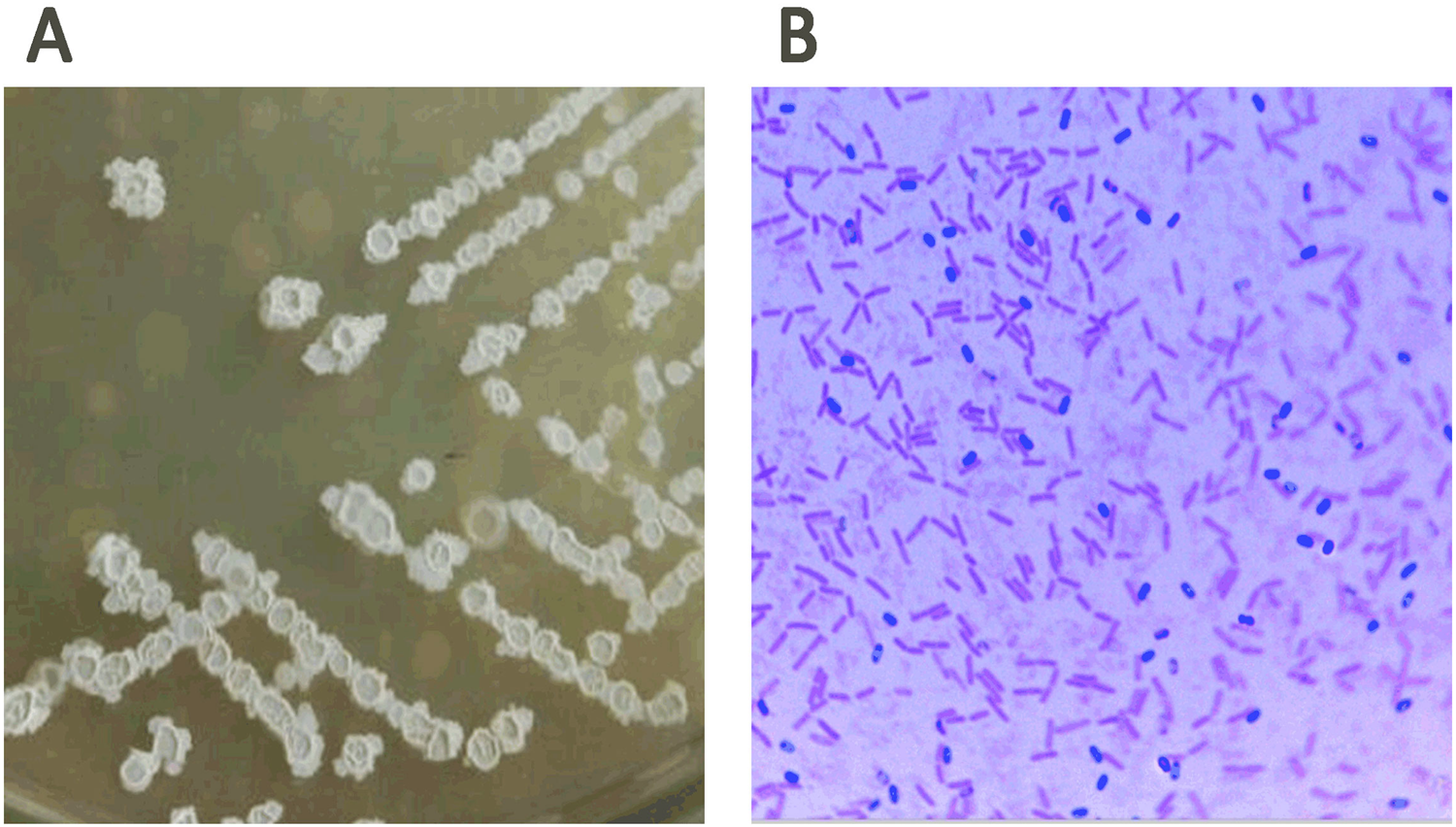
Figure 2

Colony morphology and spore staining morphology of the A2 strain grown on an LB culture plate. (A) The A2 strain was inoculated on an LB agar plate and cultured at 37 °C for 24 h. (B) The A2 strain was inoculated into LB medium at 37 °C, and it was shaken at 150 rpm for 36 h to prepare spores. Spores were stained green with 5% malachite green. The A2 strains were stained red with 5% Safranin O, which are in the form of short rods.