Figure 6
From: Analysis of the role of GSK3 in the mitotic checkpoint

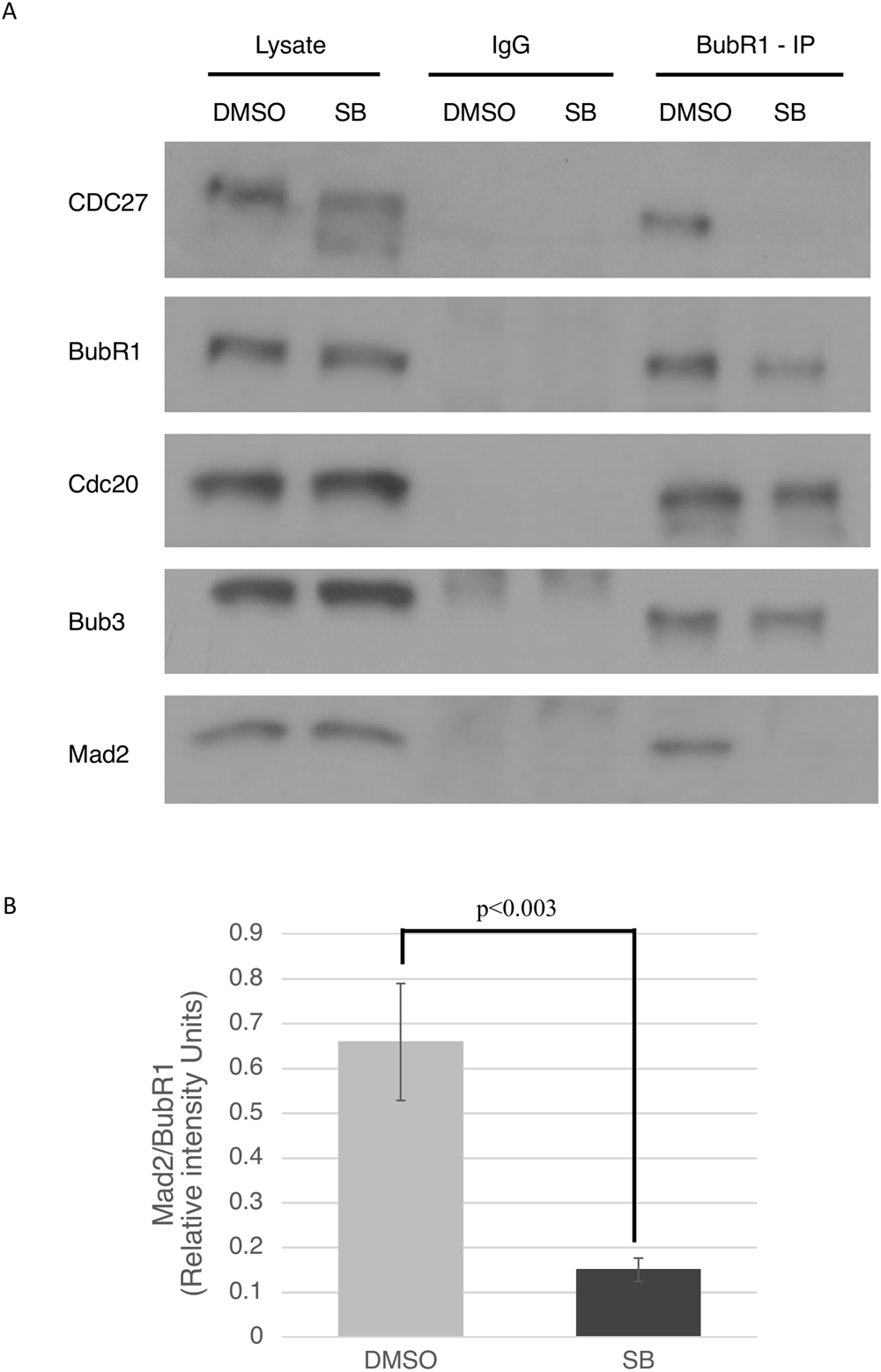
GSK3 inhibition decreases MCC assembly in the presence of spindle toxins. (A) HeLa cells were exposed to 1 μM Taxol for 12 hours, following which SB and MG132 was added. Cells were harvested after 2.5 hours and lysed. Co-immunoprecipitation was performed with extracted proteins pulled down using BubR1 antibody and IgG, as control, and 10% whole cell extract (“lysate”) was as used as input. (B) ImageJ was used to obtain pixel intensities of the bands. Mad2/BubR1 intensities were measured from three separate experiments.