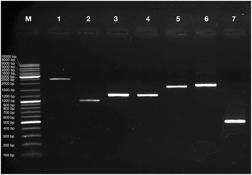
Figure 9

Reverse Transcription PCR analysis of selected unigenes of Solanum trilobatum leaf transcriptome. M is GeneRuler DNA ladder mix (Thermo Fisher Scientific, Waltham, MA), Lane 1–7 are amplicons of Phenylalanine ammonia lyase (2396 bp), Chalcone isomerase (998 bp), Flavonol synthase (1227 bp), Naringenin 3-dioxygenase (1215 bp), Coumaroylquinate 3′-monooxygenase (1673 bp), Squalene monooxygenase (1785 bp) and Actin (480 bp) respectively.