Figure 1
From: Induction of intracellular ferritin expression in embryo-derived Ixodes scapularis cell line (ISE6)

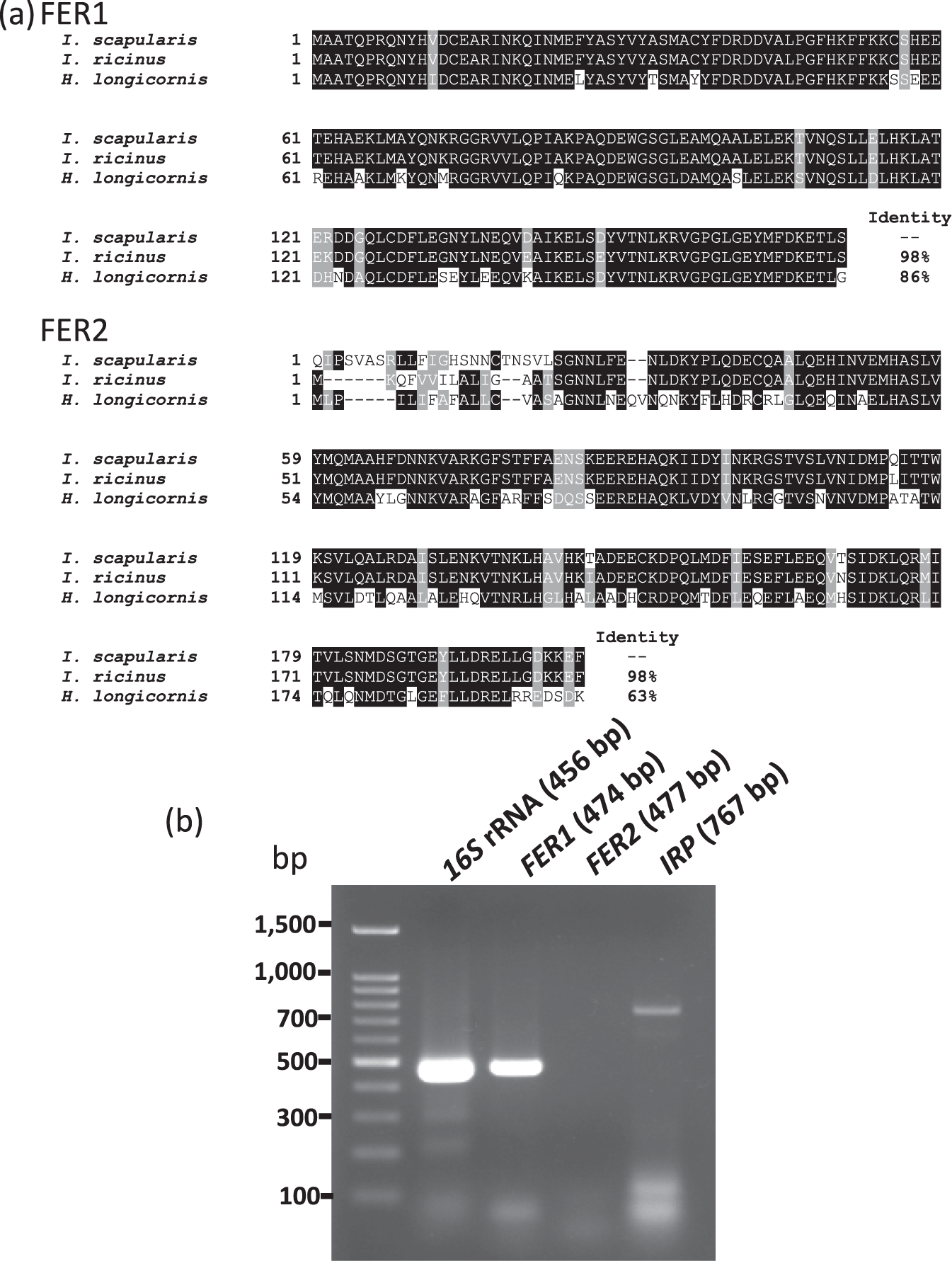
Identification of the ferritin protein and genes of ISE6 cells. (a) Multiple sequence alignment of the amino acid sequences of FER1 and FER2 of Ixodes scapularis with Ixodes ricinus and Haemaphysalis longicornis ferritins. Identical residues are shaded black, while similar residues are shaded gray. The percent identities with FER1 and FER2 are placed at the end of the sequences. The GenBank accession numbers of ferritin sequences are as follows: I. scapularis FER1 (AAQ54714.1), I. scapularis FER2 (XP_002415446.1), I. ricinus FER1 (AAC19131.1), I. ricinus FER2 (ACJ70653.1), H. longicornis FER1 (AAQ54713.1), and H. longicornis FER2 (BAN13552.1). (b) RT-PCR of ISE6 cells for FER1, FER2, and IRP. Total RNA was extracted from ISE6 cells. cDNA was synthesised and subjected to RT-PCR. PCR products were run on 1.5% agarose gel and stained with ethidium bromide. 16S rRNA was used as a loading control. The PCR result are representatives of three separate experiments.