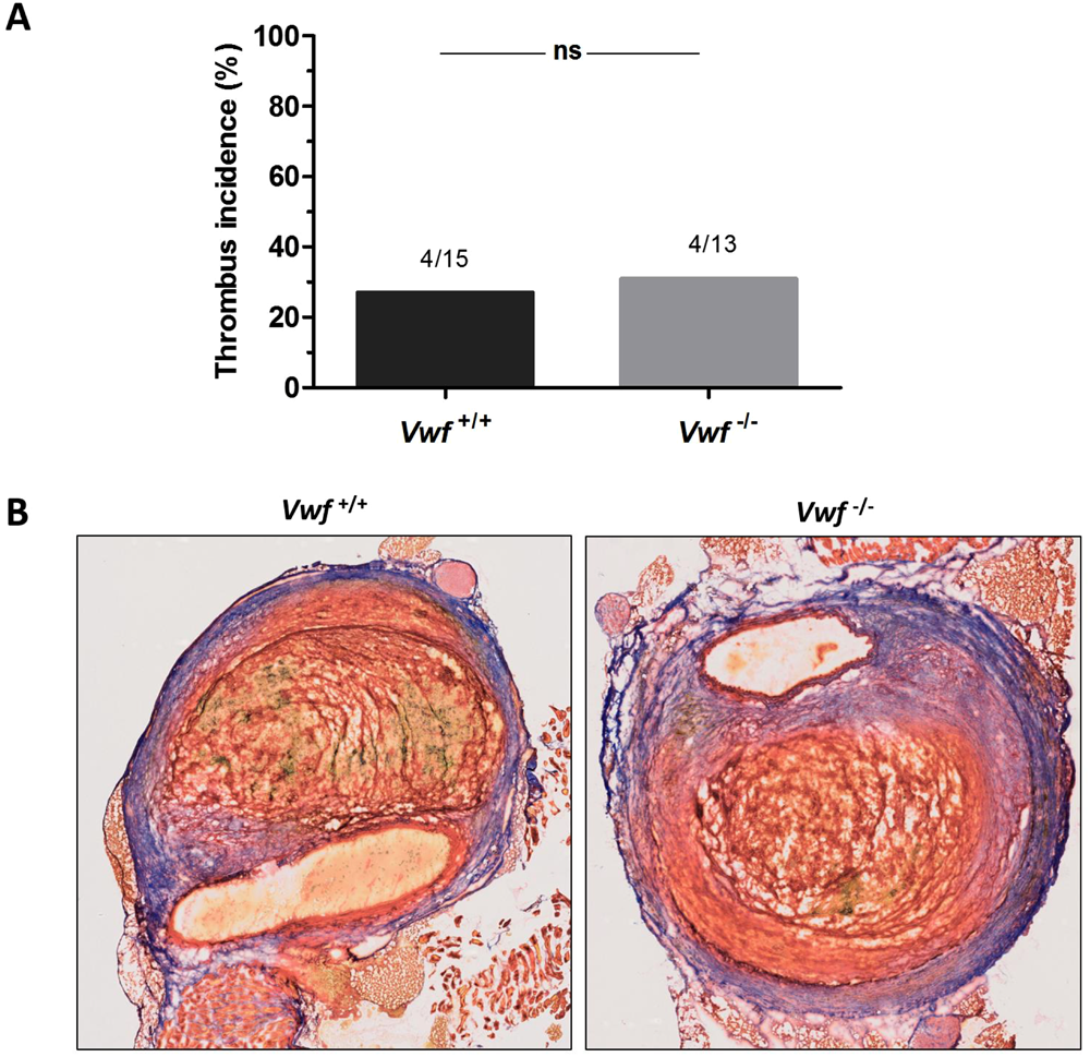
Figure 3

Intramural thrombus formation after AngII-induced AAA formation. Vwf−/− and Vwf+/+ mice were continuously infused with AngII (1000 ng/kg/min) for 28 days via subcutaneously implanted mini-pumps. (A) The incidence of thrombus formation was determined after 28 days (p = 1.000; Fisher’s exact test) (B) Cryosections of suprarenal aneurysms containing an intramural thrombus (Stage 3–4) were stained for fibrin (red), red blood cells (yellow) and collagen (blue) using Martius Scarlet Blue staining. One representative section per group is depicted and demonstrates that both Vwf+/+ and Vwf−/− mice could form an intramural thrombus with similar compositions. Pictures were taken using a Hamamatsu NanoZoomer-SQ digital slide scanner.