Figure 2

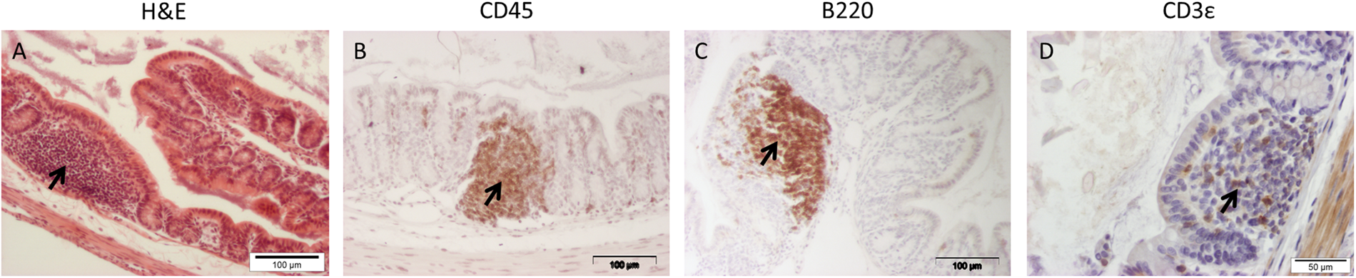
Representative pictures of Solitary Intestinal Lymphoid Tissue (SILT) stained with H&E (A), CD45 (B), B220 (C) and CD3ε (D) in old mice. Scale bar: 50 and 100 μm.

Representative pictures of Solitary Intestinal Lymphoid Tissue (SILT) stained with H&E (A), CD45 (B), B220 (C) and CD3ε (D) in old mice. Scale bar: 50 and 100 μm.