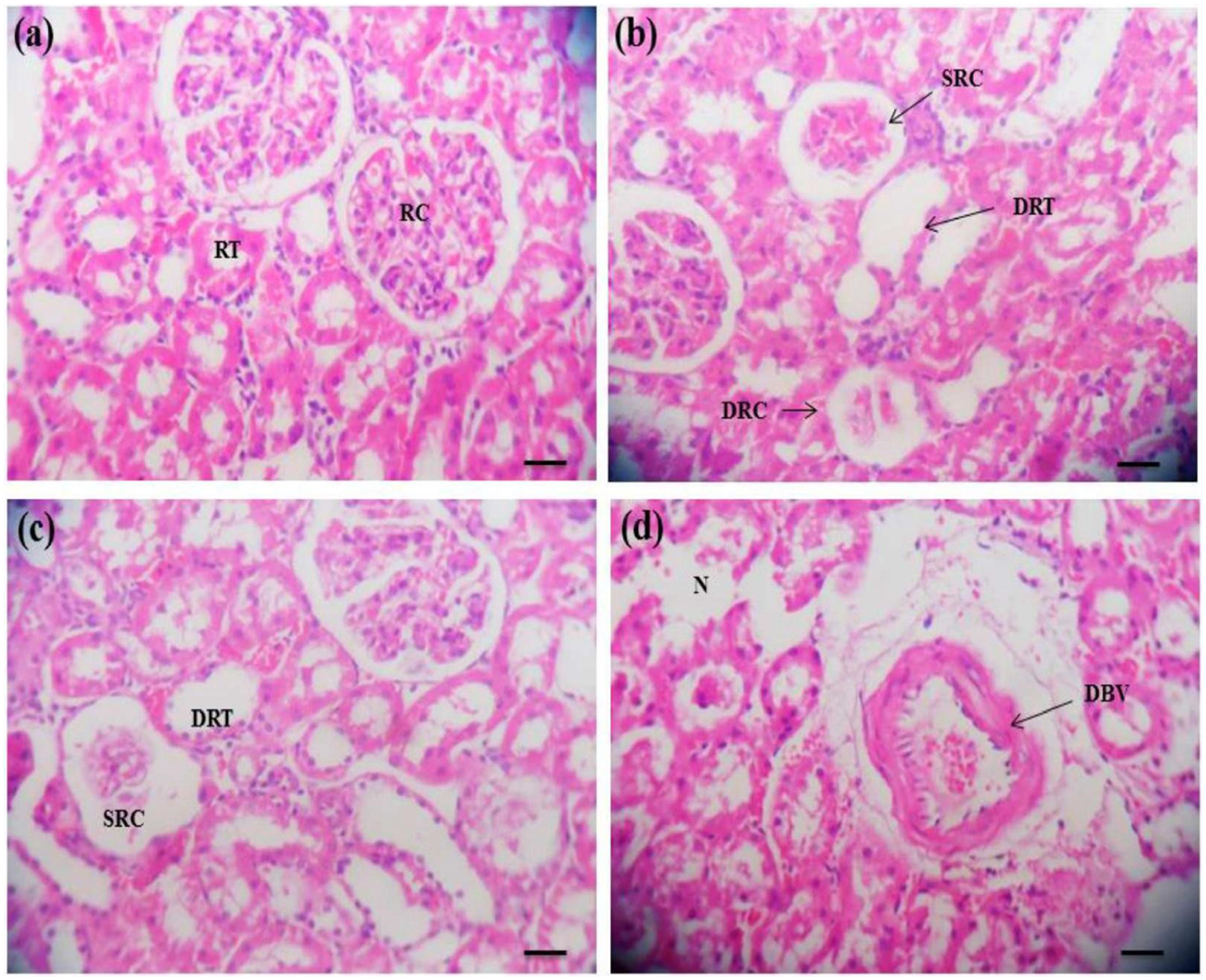
Figure 3

Pendimethalin-induced histopathological lesions in rat kidney (×400). Panel a: kidney of control rats exhibited a normal renal cortex (RC) and renal tubules (RT) surrounding with blood vessel, renal corpuscles and normal bowman’s space. Panels b–d: kidney sections of PND treated rats from lower to higher doses showing shrinked renal cortex (SRC), dilation of renal tubule (DRT), damaged renal cortex (DRC), renal necrosis (N) and dilatation of blood vessels (DBV). Each photomicrograph represents a section from an individual treated group of rat kidney.