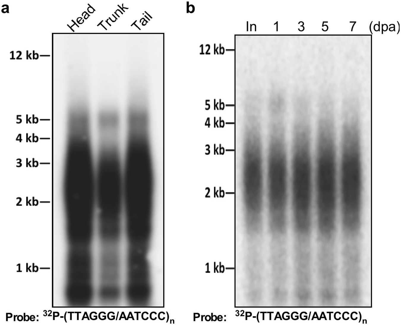
Figure 3

Telomere length maintenance in intact or regenerating A. viride. TRF assay was used to measure the telomere lengths of A. viride in different body parts (a), including the head, trunk, and tail (see Fig. 6a for illustration), or regenerating sites from 1 to 7 days post-amputation (dpa) (b). The blot was probed with a double-stranded TTAGGG telomeric probe.