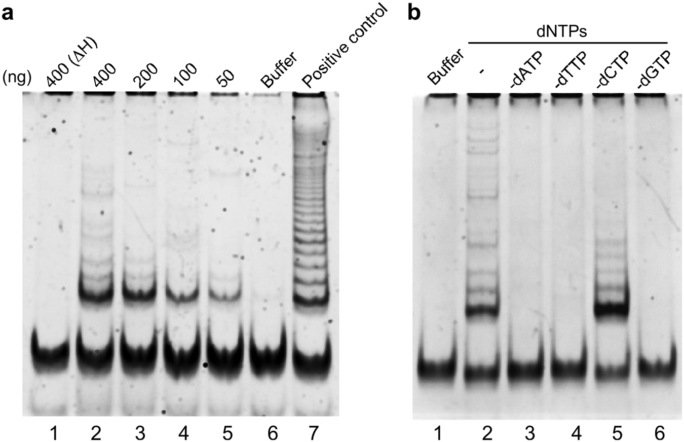
Figure 4

Detection of telomerase activity by TRAP assay in A. viride. (a) Telomerase activity in A. viride. The amount of protein extract used in TRAP reaction is indicated above each lane. A ladder-like pattern indicates telomerase-extended products amplified by PCR reactions, and the fast-running band in each lane represents the 36 bp internal control. ΔH: heat-inactivated control. Buffer: lysis buffer. Positive control: lysate from telomerase-overexpressed 293T human cells. (b) Deoxyribonucleoside triphosphates (dNTPs) required for telomerase reaction. TRAP reactions were performed with dNTPs (−) or with exclusion of individual dNTPs (-dATP, -dTTP, -dCTP, and -dGTP). Subsequent PCR reaction was performed with dNTPs.