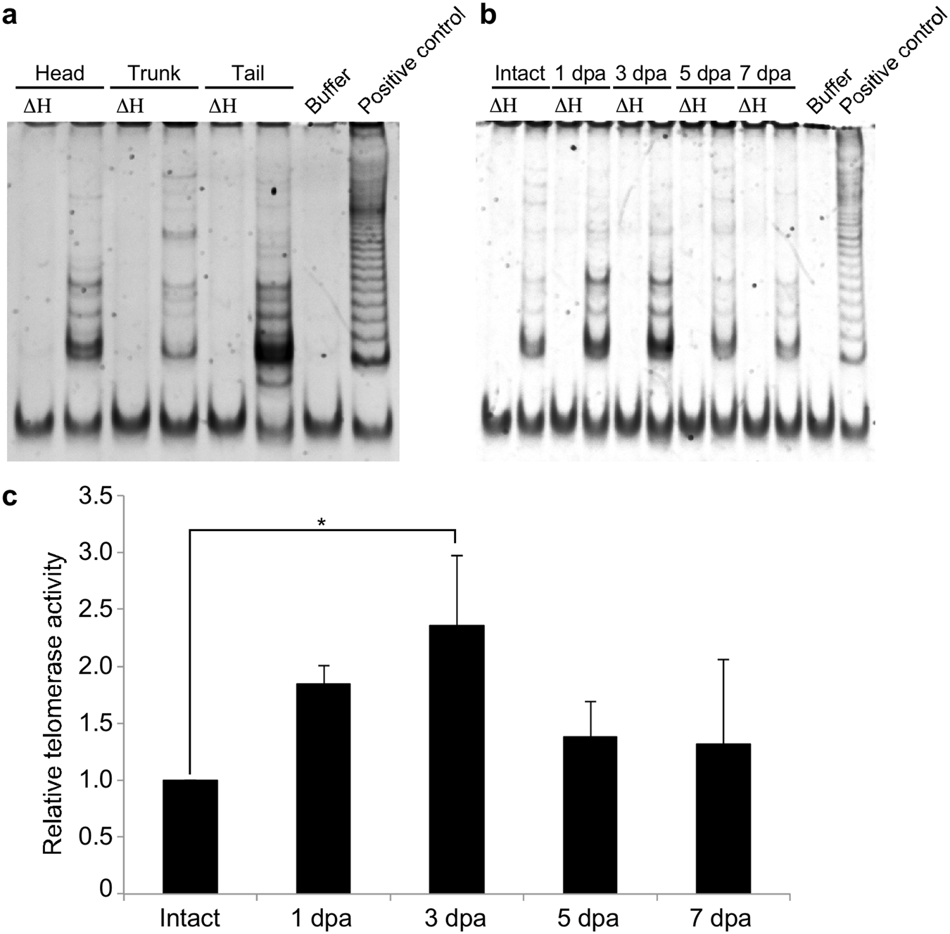
Figure 7

Telomerase activity in intact or anterior regenerating A. viride. TRAP assays were used to measure the telomerase activity of A. viride in different body parts, including head, trunk, and tail (a), or regenerating sites from 1 to 7 days post-amputation (dpa) (b). A ladder-like pattern indicates telomerase-extended products amplified by PCR reactions, and the fast-running band in each lane represents the 36 bp internal control. ΔH: heat-inactivated control. Buffer: lysis buffer. Positive control: lysate from telomerase-overexpressed 293T human cells. (c) Quantification of telomerase activity detected by TRAP assay during anterior regeneration of A. viride. Activities were first normalized to the corresponding internal control bands and then to the normalized activity of intact animals (relative telomerase activity = 1). Error bars represent standard deviation (n = 3 biological replicates). *p < 0.05.