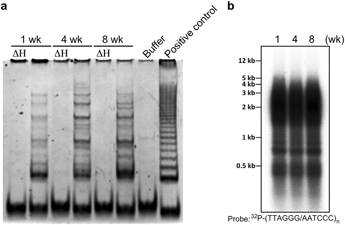
Figure 8

Telomerase activity and telomere length maintenance during A. viride aging. (a) Telomerase activity was detectable in 1-, 4-, and 8-week-old animals. A ladder-like pattern indicates telomerase-extended products amplified by PCR reactions, and the fast-running band in each lane represents the 36 bp internal control. ΔH: heat-inactivated control. Buffer: lysis buffer. Positive control: lysate from telomerase-overexpressed 293T human cells. (b) TRF assay was performed to measure telomere lengths in the three age group.