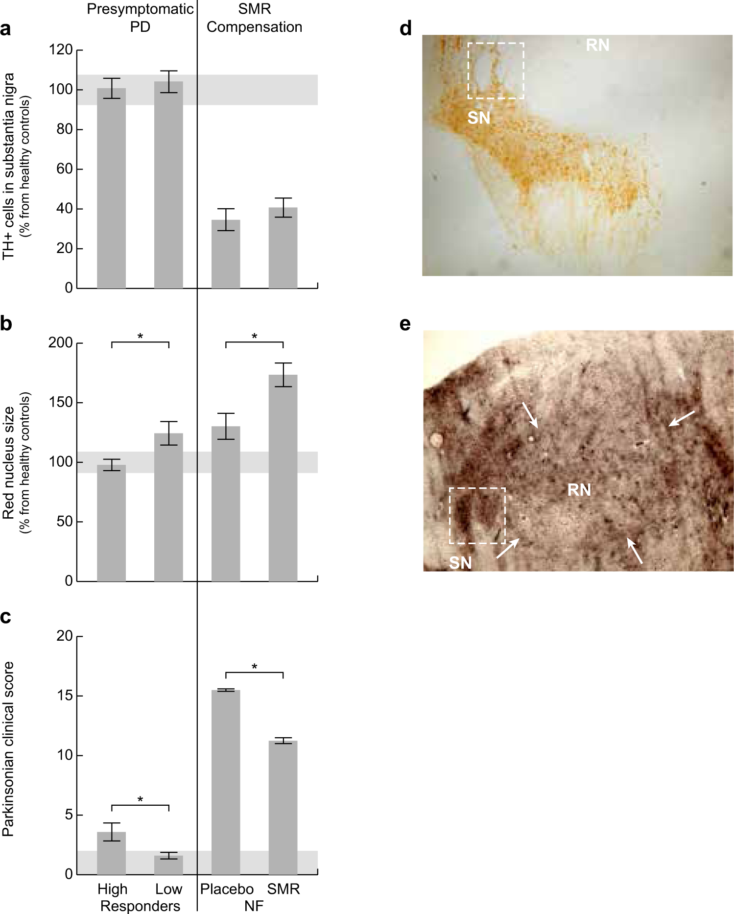
Figure 2

Histological parameters and clinical scores. Histological parameters and clinical scores during the early presymptomatic PD compensation (high vs low responders) and the SMR-induced compensation by neurofeedback (NF) training (placebo vs SMR). *Significantly different between groups (P < 0.05). Horizontal grey areas indicate the value range of healthy controls (n = 7). (a) TH-positive cells in the substantia nigra as a percentage of healthy controls (±SEM). During the presymptomatic PD stage no significant differences on cell survival was found between low responders and high responders (n = 6/group, t = 0, d.f. = 9.721, P = 0.6757). During the SMR NF procedure no significant differences was found between placebo trained and SMR trained groups (n = 5/group, t = 0.7361, d.f. = 7.092, P = 0.4853). (b) RN size as a percentage of healthy controls (±SEM). The RN was significantly larger in the low responders compared to the high responders (n = 6/group, t = 2.41, d.f. = 7.157, P = 0.046) and in the SMR trained group compared to the placebo trained controls (n = 5/group, t = 2.723, d.f. = 7.831, P = 0.0267). The RN of the placebo trained parkinsonian controls was not significantly increased compared to healthy controls (n = 7, grey bar) (t = 1.944, d.f. = 8.524, P = 0.0856). (c) Average (±SEM) clinical score of parkinsonian signs. The high responders show early parkinsonian signs compared to the low responders (F1,150 = 108.9, P < 0.0001). The SMR trained monkeys showed a significant reduction of the clinical parkinsonian signs compared to the placebo trained controls (F1,22 = 402.5, P < 0.0001). At the right site (d,e), an example of each staining is given from corresponding brain slices of a high responder monkey (M08112) from experiment 1: (d) picture of a TH-IR stained substantia nigra (SN) and (e) picture of a Campell-Switzer stained red nucleus (RN). Arrows indicate the border of the RN. The squares (d,e) indicate the same structure and are used for navigation.