Figure 6
From: Rosiglitazone blocks first trimester in-vitro placental injury caused by NF-κB-mediated inflammation

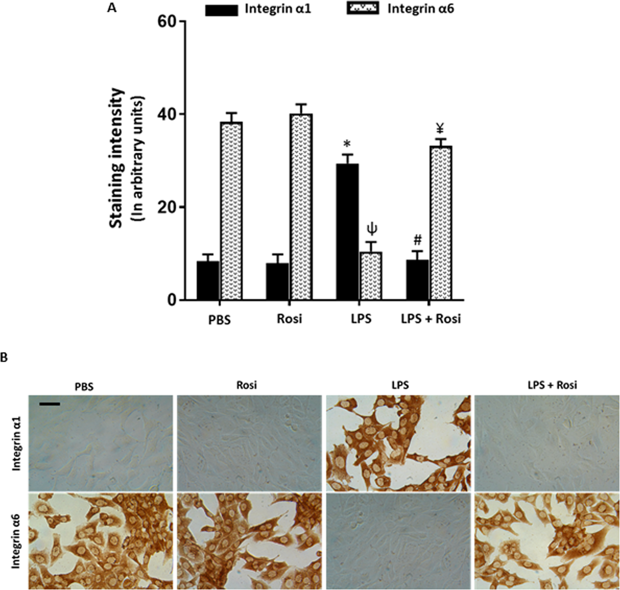
Rosiglitazone prevented LPS mediated integrin switching in trophoblast cell line HTR- 8/SVneo. HTR-8/SVneo cells were stained for assessing the expression of integrins α1 and α6. (A) Graph shows mean staining intensity for α1 and α6 across the different treatment groups. (B) Representative images showing α1 and α6 integrin staining across different treatments, showing the integrin switch in the LPS group which was prevented in the LPS + Rosi group. n = 6, ‘*’, ‘ψ’ indicates significance at p < 0.05 when compared to the PBS control group for α1 and α6 respectively, ‘#’, ‘¥’ indicates significance at p < 0.05 when compared to the LPS treated group for α1 and α6 respectively. Scale bar: 50 µm.