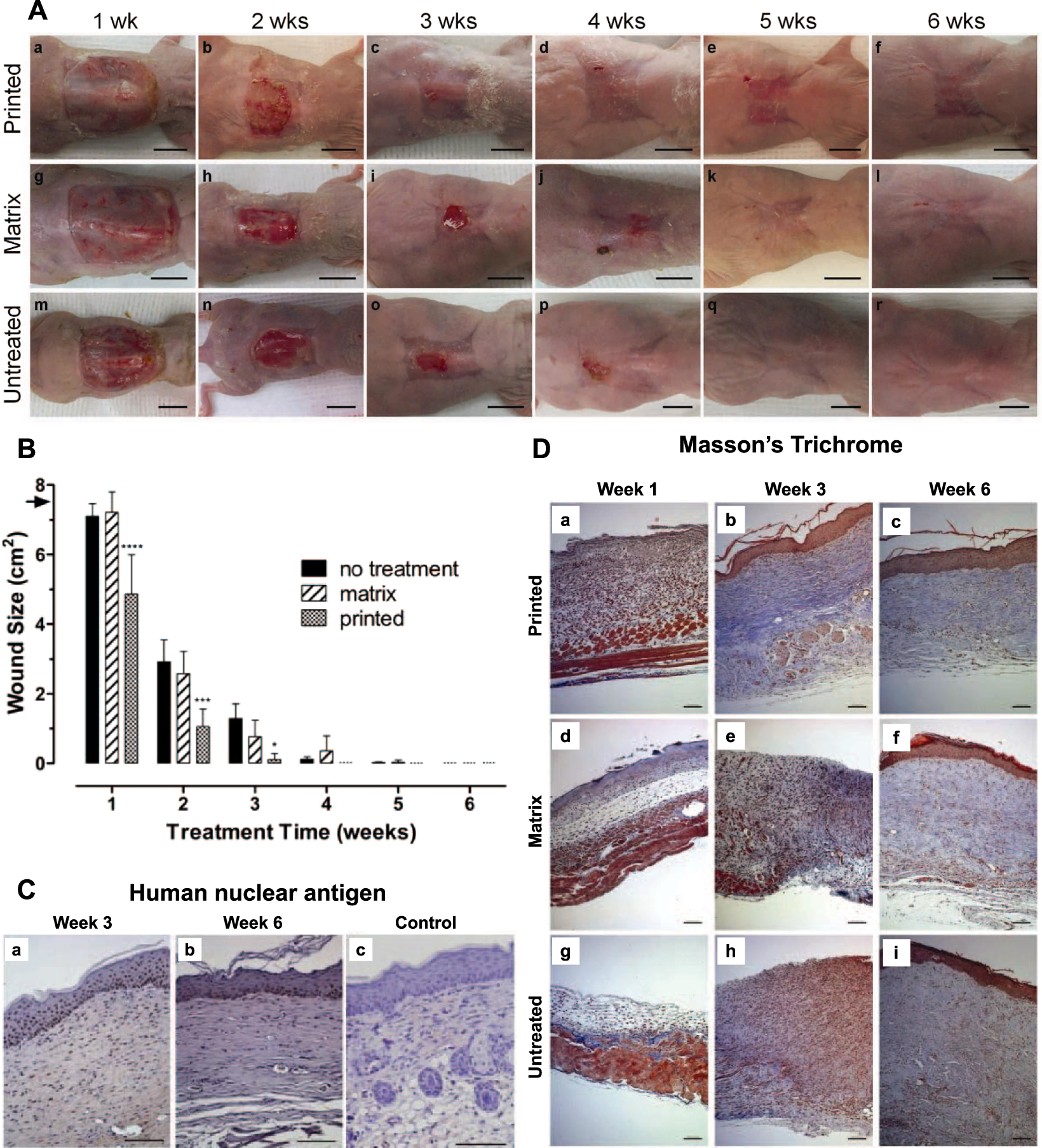
Figure 2

Gross examination of printed skin in a murine full thickness excisional wound model. (A) Cell printed mice show epithelium forming over the wound as early as week 1, with developing skin observed at week 2 that covers the entire wound but has not fully formed. By week 3, cell printed mice show complete coverage of the wound. Between week 4 and week 6, minimal contraction is observed and we observe a maturing epithelium. In contrast, matrix-treated and untreated wounds show minimal epithelialization until week 4, resulting in a significant proportion of open wound area. Contraction is also significant between weeks 4 and 6 following closure of the wounds. Scale bar: 1 cm. (B) Analysis of murine wound sizes over 6 weeks. Printed skin constructs show a significantly reduced time to wound closure when compared to untreated and matrix-treated controls. Printed skin closed the wound in 3 weeks compared to 5 weeks for controls. Wound sizes were analyzed with one-way ANOVA. ****p < 0.0001, n = 12; ***p < 0.01, n = 8; *p < 0.05, n = 8. Data presented as mean ± standard deviation (SD). (C) Anti-human nuclear antigen showed printed skin at the center of the wounds contained human within the epidermis and dermis at week 3, and week 6 after bioprinting. Matrix printed control wounds showed no human cells present at 6 weeks. Scale bar: 100 µm. (D) Masson’s Trichrome examination of skin. (a–c) Printed skin at the center of the wound shows increased cellularity compared to the matrix-treated and untreated controls, but lacked the presence of a defined epidermis or dermis maturation. At week 3 and week 6 post-printing we observed the presence of a defined epidermis and organized dermis consisting of aligned blue stained collagen fibers. (d–f) Matrix-printed wounds lacked cellularity and presence of a defined epidermis or dermis maturation one week after printing. At week 3 after treatment, matrix-printed still lacked a defined epidermis and showed no dermal organization but started to show epidermis formation and a more defined dermis with increased prominence of blue stained collagen fibers by week 6 (g–i) Untreated wounds lacked both the cellularity and material thickness observed in the other two groups at week one, but appeared similar to matrix only-treated wounds at week 3 and 6. Scale bar: 100 μm.