Figure 6
From: Phosphate binding by sucroferric oxyhydroxide ameliorates renal injury in the remnant kidney model

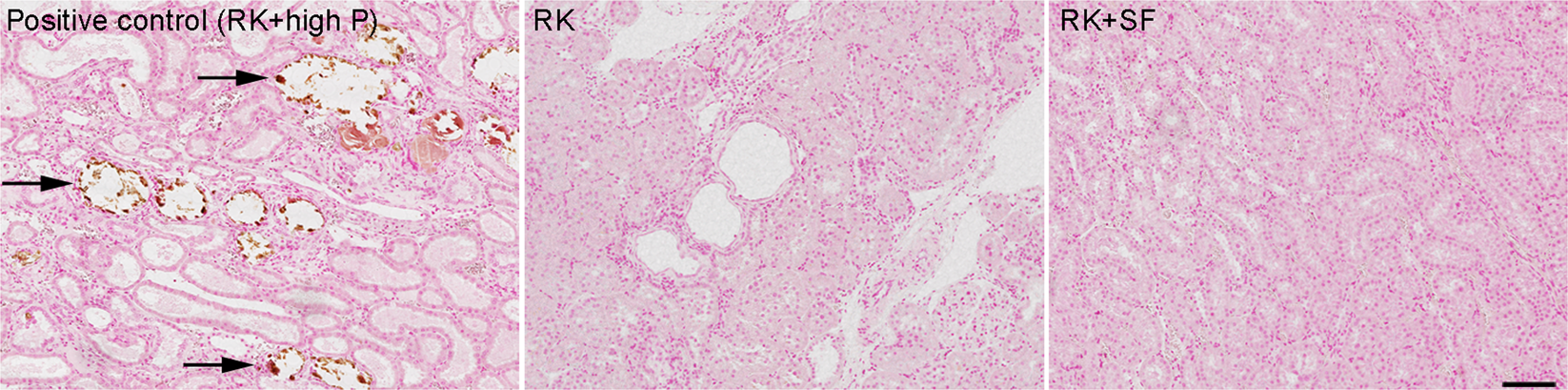
Protective effects of SF in RK rats are independent of CaPi deposition in the kidney. Representative von Kossa-stained kidney sections from RK (middle) and RK + SF rats (right). In the left panel, RK rats fed high (1.2%) phosphate diet served as a positive control for the renal calcification (indicated by arrows). Bar represents 100 μm.