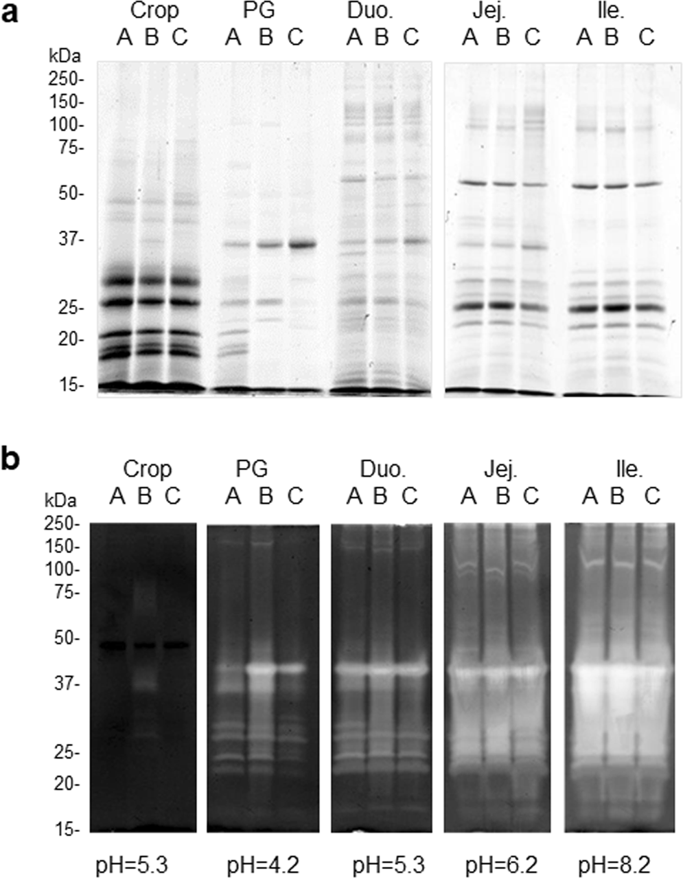
Figure 3

SDS-PAGE analyses (a) and gelatin zymographies (b) of digestive contents (hydrosoluble fraction) along the chicken digestive tract. SDS-PAGE were performed under reducing/denaturing conditions (40 µg proteins). Zymographies were conducted under non-reducing/non-boiling conditions (5 µg of proteins) at physiological pH (pH = 5.3 for crop; 4.0 for prov./giz; 5.3 for duo., 6.2 for jejunum and 8.2 for ileum). A, B, C correspond to group A (t = 0 after the end of feeding), B (t = 1h30 after the end of feeding) and C (t = 3 h after the end of feeding), respectively. Prov./giz, proventriculus/gizzard; Duo., duodenum; Jej. Jejunum. Crop/PG/Duo samples and Jej/Ile samples were run on two separate gels, and one empty lane was included between two sets of A, B, C groups to avoid any contamination from one set of samples to another.