Figure 4
From: Ischaemic stroke in mice induces lung inflammation but not acute lung injury

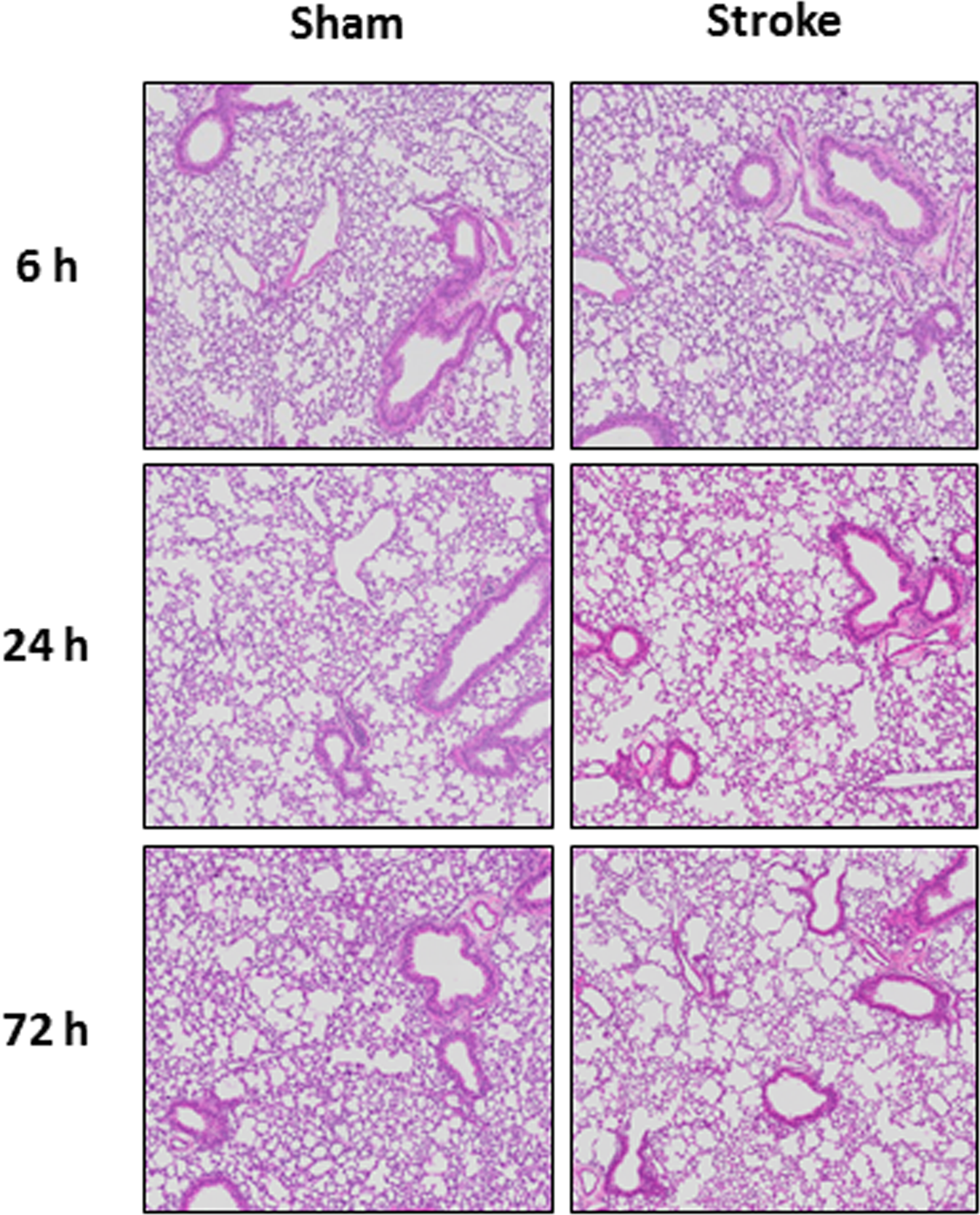
Hematoxylin and eosin stained lung tissue section from mice 6, 24 and 72 h post stroke (50 min ischaemia) or sham surgery.
From: Ischaemic stroke in mice induces lung inflammation but not acute lung injury

Hematoxylin and eosin stained lung tissue section from mice 6, 24 and 72 h post stroke (50 min ischaemia) or sham surgery.