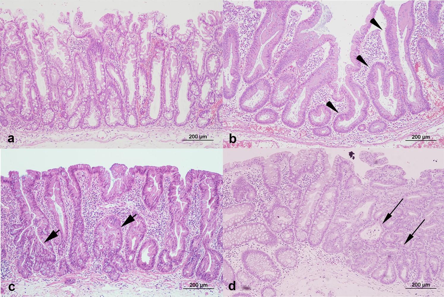
Figure 2

Histopatholgic findings with hematoxylin-eosin staining of the resected specimens of sessile serrated adenomas/polyps (SSA/Ps) (x100). (a) SSA/P without cytologic dysplasia shows the presence of serrated crypts, irregularly dilated and branching crypts, and horizontally and laterally arranged basal crypts. (b) SSA/P with low grade dysplasia (arrowhead). (c) SSA/P with high grade dysplasia (short arrow). (d) SSA/P with adenocarcinoma (long arrow).