Figure 6

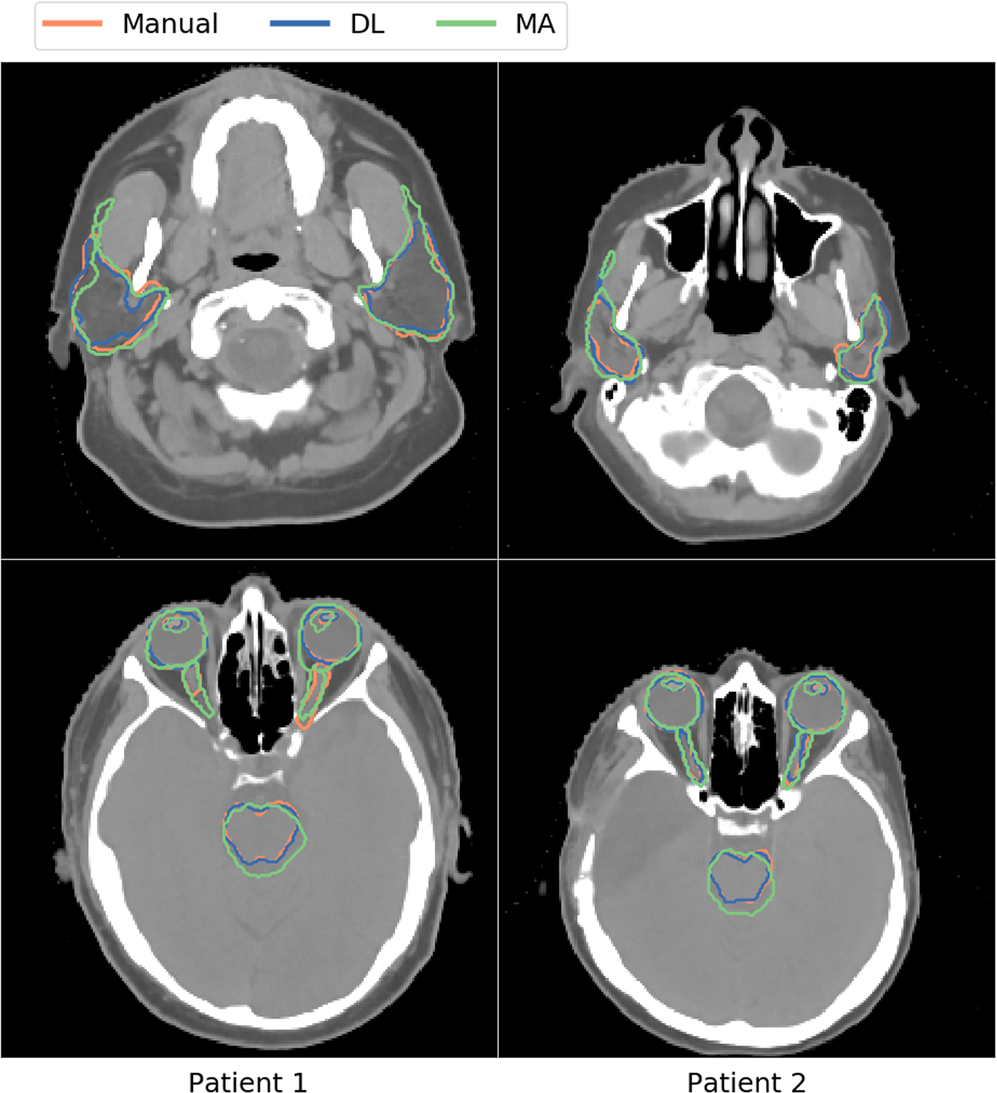
Comparison of the manual (orange), deep-learning (DL; blue), and multi-atlas (MA; green) based image segmentation methods for all organs-at-risk for two patients.

Comparison of the manual (orange), deep-learning (DL; blue), and multi-atlas (MA; green) based image segmentation methods for all organs-at-risk for two patients.