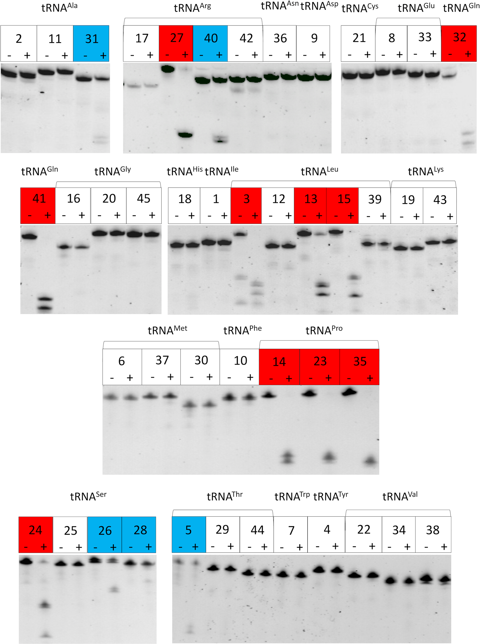
Figure 3

VapC-mt11 cleaves one third of M. tuberculosis tRNAs in vitro. tRNAs and their cleavage products visualized by SYBR Gold staining. 2 pmol of each of the 45 in vitro synthesized M. tuberculosis tRNAs was incubated with (+) or without (−) 10 pmol of recombinant VapC-mt11 for 3 h at 37 °C to ensure detection of both strong and weak tRNA cleavage reactions. Full length tRNAs that were cleaved to completion or near completion by VapC-mt11 shown in red; these tRNAs were also cleaved to the same extent shown when incubated for only 15 min at 37 °C. Weak VapC-mt11 tRNA targets shown in blue. tRNA numbering and anticodon sequences of each numbered tRNA from the Lowe lab genomic tRNA database http://gtrnadb.ucsc.edu33. All uncropped images shown in Supplementary Information Fig. 2.