Figure 5
From: Metabolic stress controls mutant p53 R248Q stability in acute myeloid leukemia cells

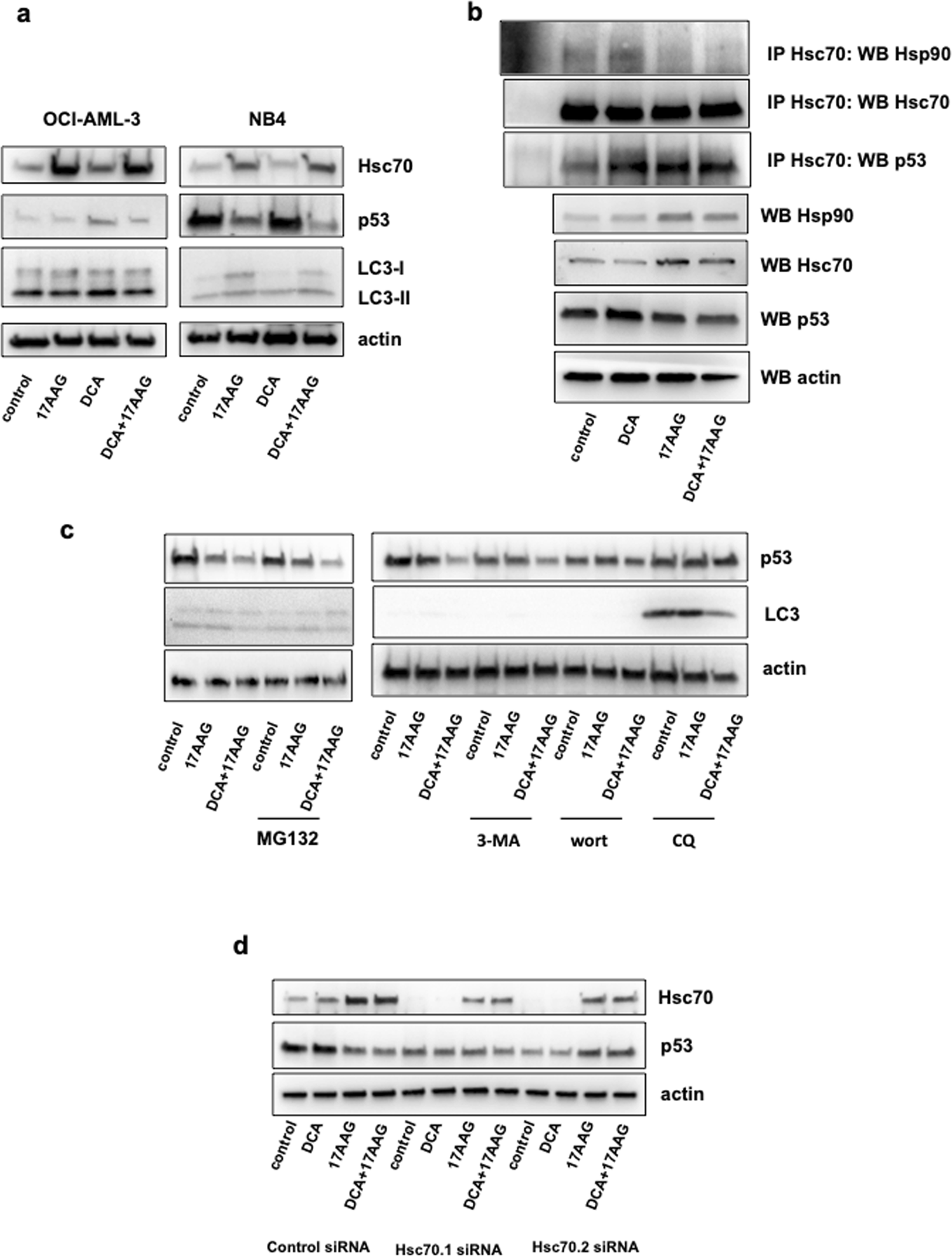
CMA degrades R248Q under metabolic stress. (a) Cells were treated with DCA (10 mM) and/or 17-AAG (1 µM) for 24 h before protein analysis by western blotting. (b) R248Q interacts with Hsc70 chaperone. NB4 cells were treated with DCA (10 mM) and/or 17-AAG (1 µM) for 8 h, harvested and proteins in the extracts were immunoprecipitated with anti-HSC70 antibody (13D3). Immunoprecipitates were analyzed by Western blotting with anti-Hsc70, anti-p53 and anti-HSsp90 as indicated. (c) Only inhibition of autophagy degradation by CQ prevented the elimination of R248Q. NB4 cells were treated with DCA and/or 17-AAG as in (a) and with MG132 (10 µM), 3-MA (10 mM), wortmannin (50 nM) and CQ (50 µM) for 12 h. (d) Hsc70 is essential for R248Q degradation. NB4 cells were transfected with control siRNA and two siRNA against Hsc70. 72 h later they were incubated with 10 mM DCA and/or 17-AAG (1 µM) for 24 h and protein expression was analyzed by western blotting.