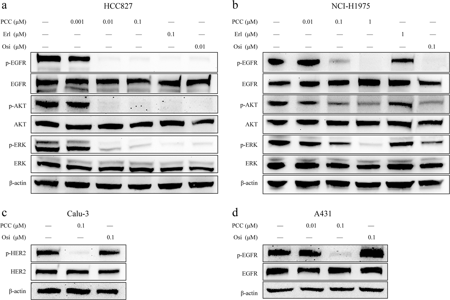
Figure 3

PCC0208027 inhibited phosphorylation of EGFR and depressed downstream signaling. Cells were treated with different concentrations of PCC0208027, erlotinib, or osimertinib for 24 h. Cells were lysed and proteins were analyzed by Western Blotting with the indicated antibodies. (a) Phosphorylation of EGFR and its downstream AKT and ERK key molecules were inhibited by PCC0208027, erlotinib, and osimertinib in HCC827 cells. (b) However, in NCI-H1975 cells, EGFR signaling was inhibited only by treatment with PCC0208027 and osimertinib. (c) Phosphorylation level of HER2 was inhibited obviously by PCC0208027 in Calu-3 cells. The full-length blots images are shown in the Supplementary Materials. The gels were operated under the same experimental conditions in each cell line. (d) In A431 cells with EGFR WT, PCC0208027 also showed potential inhibitory activity against phosphorylation of EGFR.