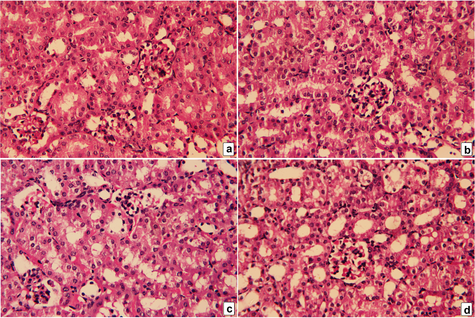
Figure 11
From: Royal jelly attenuates cadmium-induced nephrotoxicity in male mice

Photomicrographs of mice kidney. Kidney tissues from the control and royal jelly-treated groups (a,b, respectively) shows normal kidney structure. In the cadmium chloride (CdCl2)-treated mice (c), severe inflammation, cytoplasmic vacuolation, severe tubular necrosis and apoptosis, and congested glomeruli are shown. Pretreatment with royal jelly (d) markedly attenuated all renal damages caused by cadmium. Hematoxylin and eosin (H&E), 400× magnification.