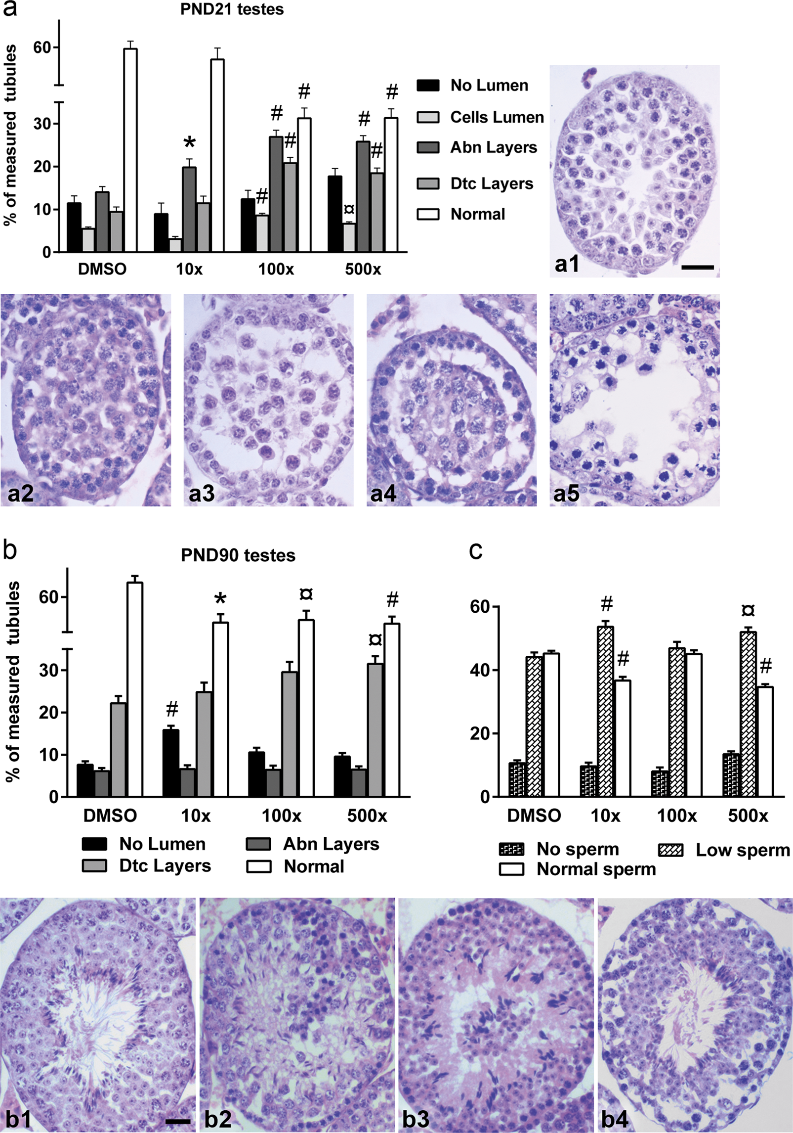
Figure 2

Effect of Mixture S on testicular histology of PND21 (a) and on testicular histology (b) and sperm content (c) of PND90 offspring exposed to 0x (DMSO), 10x, 100x and 500x SELMA mothers’ levels. Bars represent the estimated marginal means ± SE of the percent of seminiferous tubule types detected in each group. Number of animals used PND21: n = 4–10; PND90: n = 7–13. *p < 0.05; ¤p < 0.01; #p < 0.001. Photomicrographs of tubules from DMSO-treated and Mixture S-treated animals at PND21 (a1–a5) and PND90 (b1–b4) showing normal tubules (a1, b1) and representative aberrations detected in experimental animals. a2, b2: no lumen; a3, b3: germ cells in the lumen; a4, b4: detached layers; a5: abnormal layers. Scale bar 20 μm.