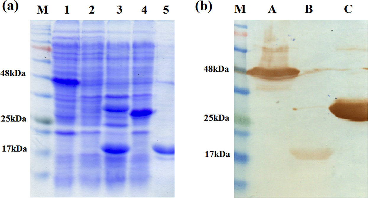
Figure 2

Coomassie stained SDS-PAGE of rMERS-NP, rUbi and E. coli lysates (a) and Western Blotting (b). M indicates BLUelf prestained protein ladder (GeneDireX Inc.); lane 1 and lane A, crude rMERS-NP; lane 2, E. coli C41 lysate; lane 3, crude rUbi; lane 4, E. coli BL21 with pRARE3 lysate; lane 5 and lane B, purified rUbi; lane C, positive control. The full length SDS-PAGE gel and blot are presented in Supplementary Figures 5 and 6.