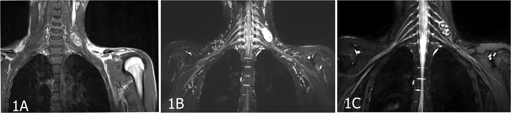
Figure 1

An 18-year-old male patient with peripheral nerve sheath tumors in the left C6 spinal nerve. (A) The lesion in the left neck was well circumscribed with inhomogeneous enhancement on coronal enhanced T1WI. (B) Coronal MIP 3D-STIR SPACE image shows inhomogeneously enhanced mass closely related to the left C6 nerve and pushing the left C5 nerve. (C) Compared with T1WI image, contrast-enhanced 3D-STIR SPACE image has better effect of background suppression, the mass was originated from C6 nerve.