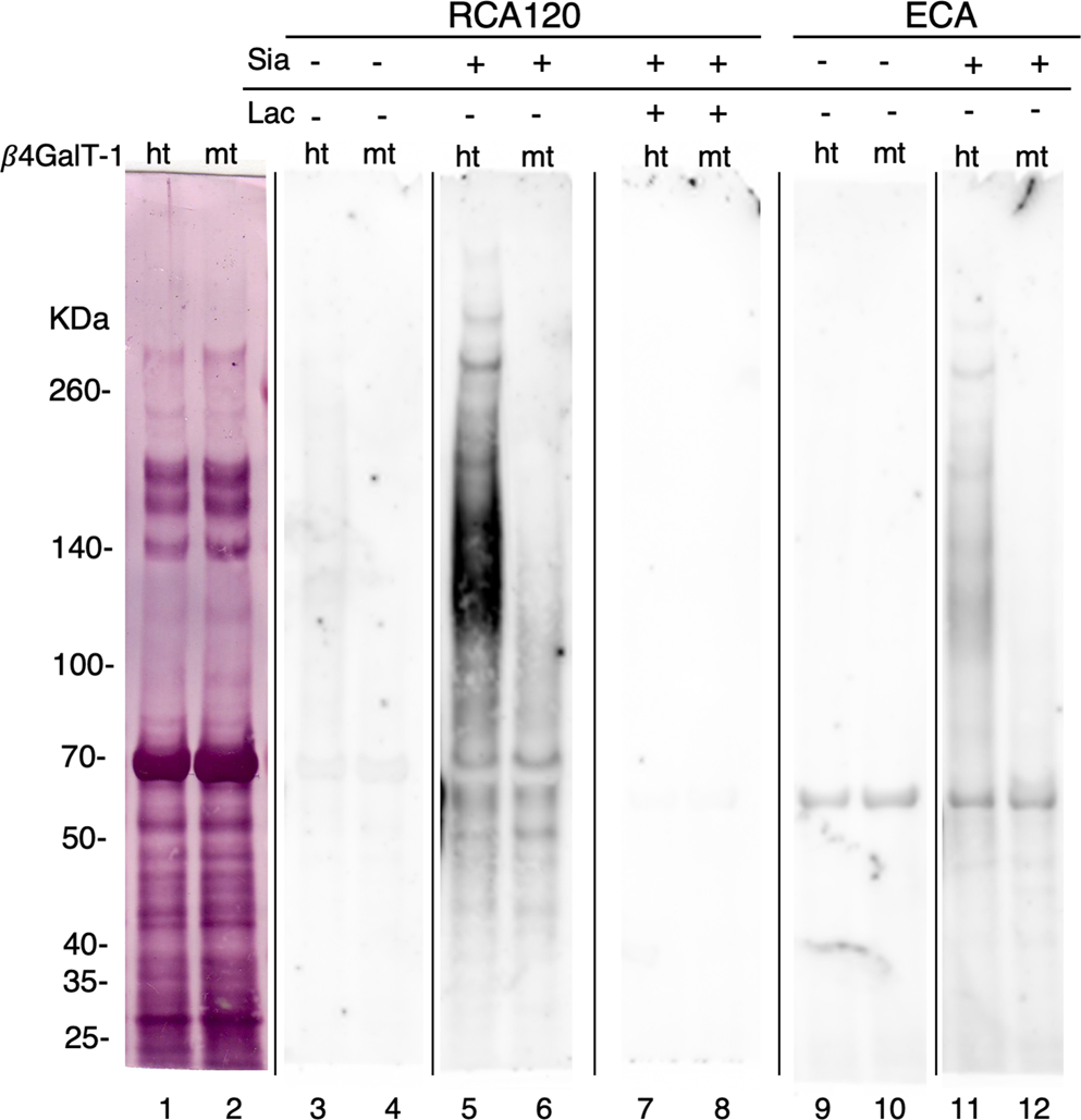
Figure 6

Lectin blot of lineage-negative bone marrow (BM) cells. Lanes 1, 2: lineage-negative BM cells (2.6 × 104 cells) stained with Colloidal Gold. Lanes 3–12: lineage-negative BM cells (2.6 × 104 cells) reacted with RCA-120 (lanes 3–8) or ECA (lanes 9–12). Lanes 5–6 and 11–12 were digested with sialidase, while lanes 7–8 were digested with sialidase and blocked with lactose. Lanes 1, 3, 5, 7, 9, 11 are β4GalT-1+/− cells (ht), while lanes 2, 4, 6, 8, 10, 12 are β4GalT-1−/− cells (mt). Lanes 1–12 were from the same gel. A representative lectin blot of three mice per genotype is shown.