Figure 4
From: Protective effect of calcitriol on rhabdomyolysis-induced acute kidney injury in rats

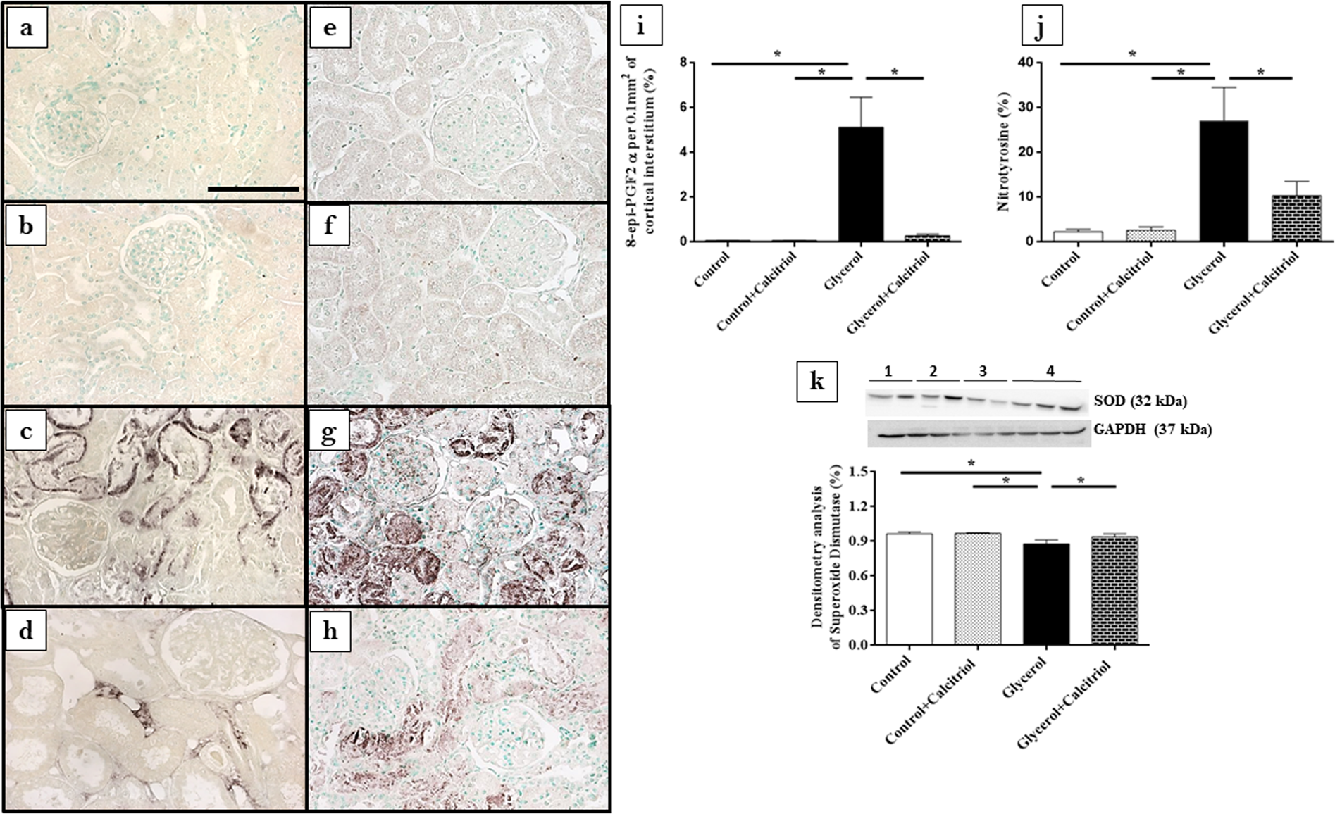
Immunolocalization of 8-epi-PGF2 α (a–d) and nitrotyrosine (e–h) in the renal cortex of control (a,e), control + calcitriol (b,f), glycerol (c,g) and glycerol + calcitriol (d,h) animals. The bar indicates 50 μm. Percentage of the tubulointerstitial area of the renal cortex marked with 8-epi-PGF2 α (i) and nitrotyrosine (j) in the different groups. The data are expressed as the means ± SEM. Western blot analysis of superoxide dismutase (k) in the renal cortex of control (lane 1), control + calcitriol (lane 2), glycerol (lane 3) and glycerol + calcitriol (lane 4) animals. The densitometric ratio between superoxide dismutase and GAPDH was calculated, and the data are expressed compared with that of the control group, with the mean (±SEM) control value designated 100%. Blots are representative imagens from independent experiments. The data are expressed as the means ± SEM. *Denotes a statistical significance of P < 0.05 between the groups. (n = 6–7 for each group). Magnification, ×400.