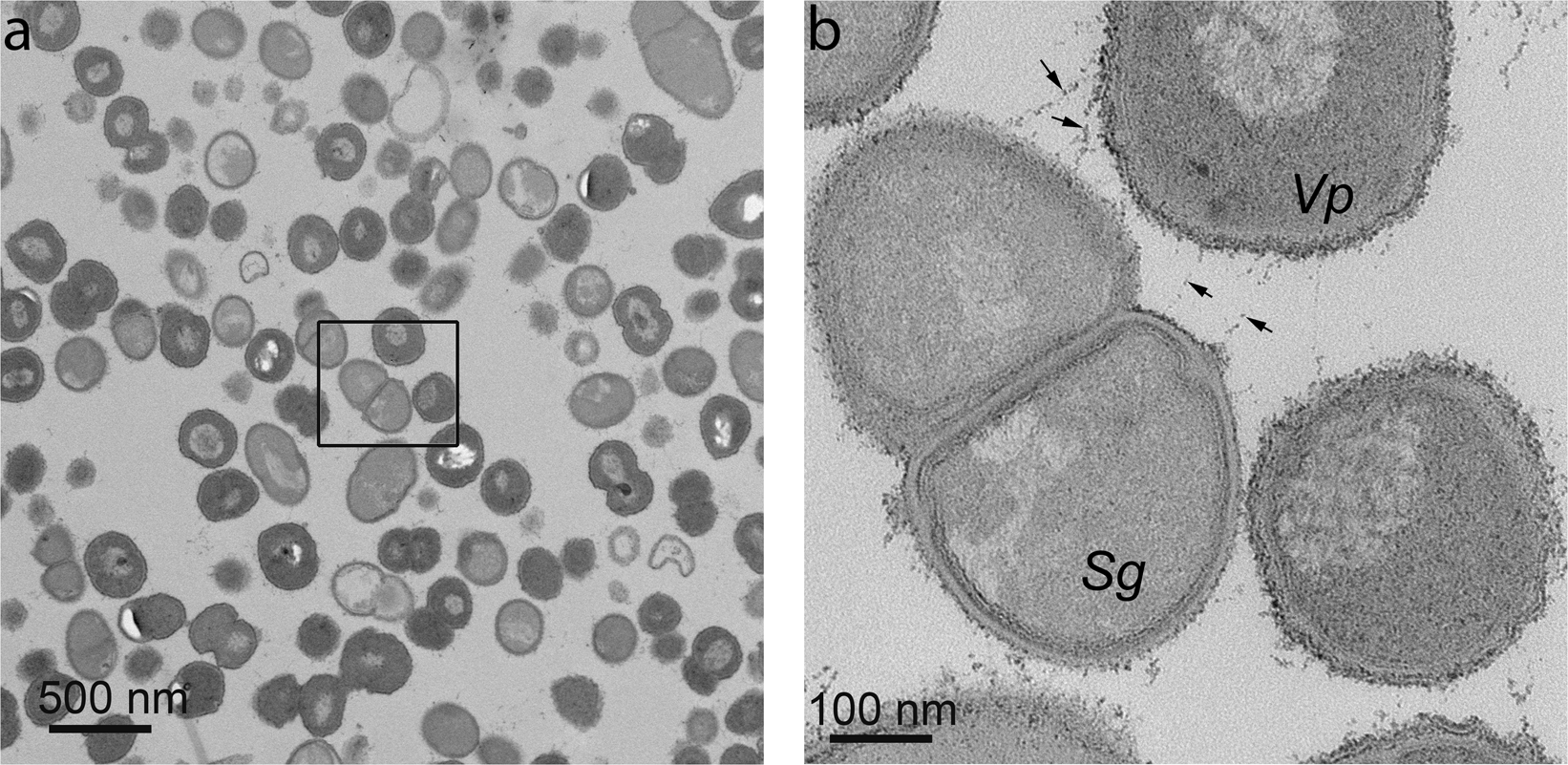
Figure 2

Analysis of coaggregates by TEM. Cells of S. gordonii and V. parvula were washed, suspended in human saliva and concentrated cultures were mixed vigorously to induce coaggregation. Samples were embedded in resin and visualized by TEM. At relatively low power (a), large areas containing densely packed S. gordonii and V. parvula cells were visible. S. gordonii (Sg) and V. parvula (Vp) could be more easily distinguished at higher magnification (b). Nearby cells appeared to be connected by extracellular material or fibrils (arrows).