Figure 3
From: Phenotypic and genetic characterisation of an emerging reovirus from Pekin ducks in China

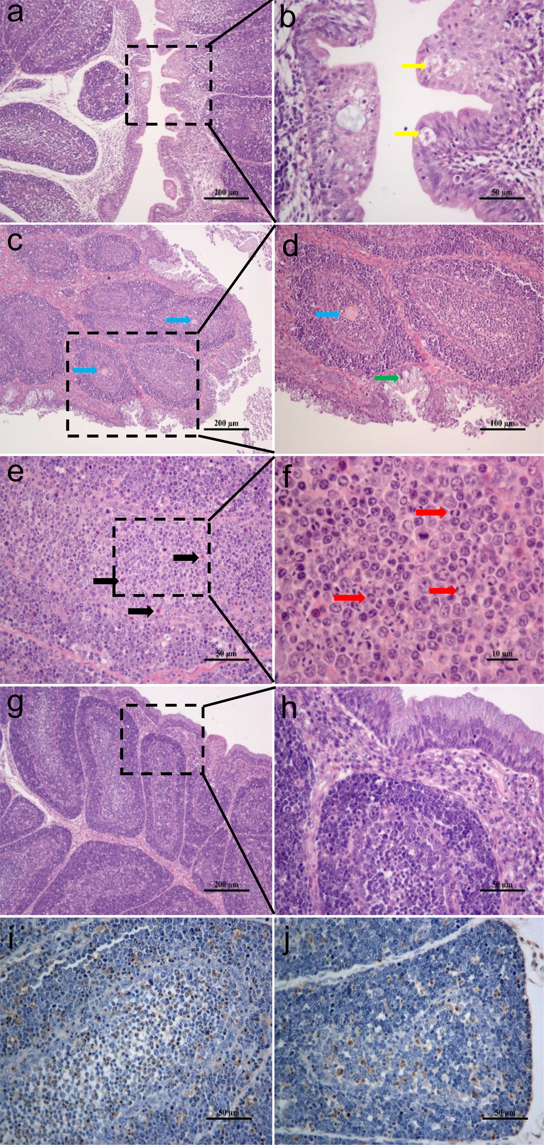
Microscopic lesions in the bursa of ducklings infected with reovirus Ych isolate. (a,b) showing the inter-follicle edema, vacuolation of epithelial cells (yellow arrow) (HE stain) (Scale bar = 200 & 50 μm, respectively). (c,d) showing the epithelial cell sloughing, goblet cell metaplasia in the mucosal layer (green arrow) and central eosinophilic focus (blue arrow) (HE stain) (Scale bar = 200 & 100 μm, respectively). (e,f) showing monocyte infiltration (black arrow) and cells with chromatin margination (red arrow) (HE stain) (Scale bar = 50 & 10 μm, respectively). (g,h) showing bursa sections of uninfected ducklings (HE stain) (Scale bar = 200 & 50 μm, respectively). (i,j) Marking of apoptotic cells of one infected duckling at 5 dpi (i) and uninfected control (j) with TUNEL assay. Haematoxylin stain was used as a cytoplasmatic contrast (Scale bar = 50 μm).